Table 5. Spiculated margins

doi: 10.24390/thyrosite.ctu.2.5.lect.05.2

 

Spiculated margin belongs to the irregular borders which is encountered among suspicious signs of every TIRADS. This is characterized by the presence of projection having sharp angles. The distinction from lobulations is not always possible, but this has little if any relevance. Form a practical point-of-view, there are two issues. Firstly, there is no exact definition on which we can distinguish small irregularities on nodule surface without any clinical significance from pathognomonic spiculations. Secondly, one of the most typical presentations of Hashimoto's thyroiditis is the puzzle-like, spiculated borders of discrete hypoechogenic lesions.

Papillary carcinoma (histology) - case conp003

Transverse scan
Longitudinal scan

Three types of indistinct borders are presented in these images. Green arrows point to that part of the nodule which echogenicity is identical to the extrathyroidal strap muscle. The tumor has partly blurred (red arrows) and partly spiculated (yellow arrows) margins.

Papillary carcinoma (histology) - case conp006

Transverse scan
Longitudinal scan

The tumor spreads into the normal parenchyma with elongated projections which have sharp edges (yellow arrows).

Papillary carcinoma (upper) and benign hyperplastic nodule (lower) (histology) - case conp027

Transverse scan
Longitudinal scan

The nodules present different types of pathological borders. White arrows point to spiculated margins, red arrows do to lobulated margins while yellow ones do to blurred borders. The origin of the spiculations on the surface of the hypoechogenic nodule (green arrows) is equivocal, these might be caused by the impression of the echonormal lesion on the surface. The upper, malignant nodule has microcalcifications while the lower benign one presents both taller-than-wide and longer-than wide sign.

Papillary carcinoma (upper) and benign hyperplastic nodule (lower) (histology) - case conp037


Longitudinal scan

The yellow arrows point the spiculated margins.

Papillary carcinoma (middle) and benign hyperplastic nodule (lower) (histology) - case conp034

Transverse scan
Longitudinal scan

The middle, malignant nodule has partly blurred (yellow arrows), partly lobulated margins (white arrows) while the lower, benign nodule presents blurred borders (yellow arrows) and spiculated margins (red arrows), as well. The small irregularities marked with green arrow cannot be judged as pathognomonic for lobulated margins.

Papillary carcinoma (histology) - case 2082

Transverse scan
Longitudinal scan

In this case almost the entire border of the nodule is ill-defined, moreover the lesion has lobulated (yellow arrows) and spiculated (red arrows) margins, as well.

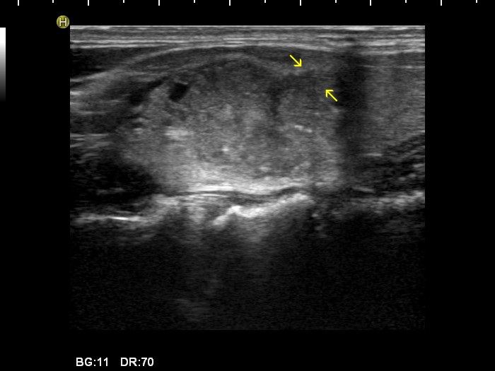
Papillary carcinoma (histology) - case conp040

Longitudinal scans

The nodule has spiculated margins, the dorsal spicule is pathognomonic, the ventral one is less evident.

Oxyphilic variant of papillary carcinoma in an autonomously functioning nodule (histology) - case 2022

Transverse scans
Longitudinal scans

The nodule has irregular borders, there are some spiculations with sharp angles (yellow arrows) and some protrusions marked with red arrow.