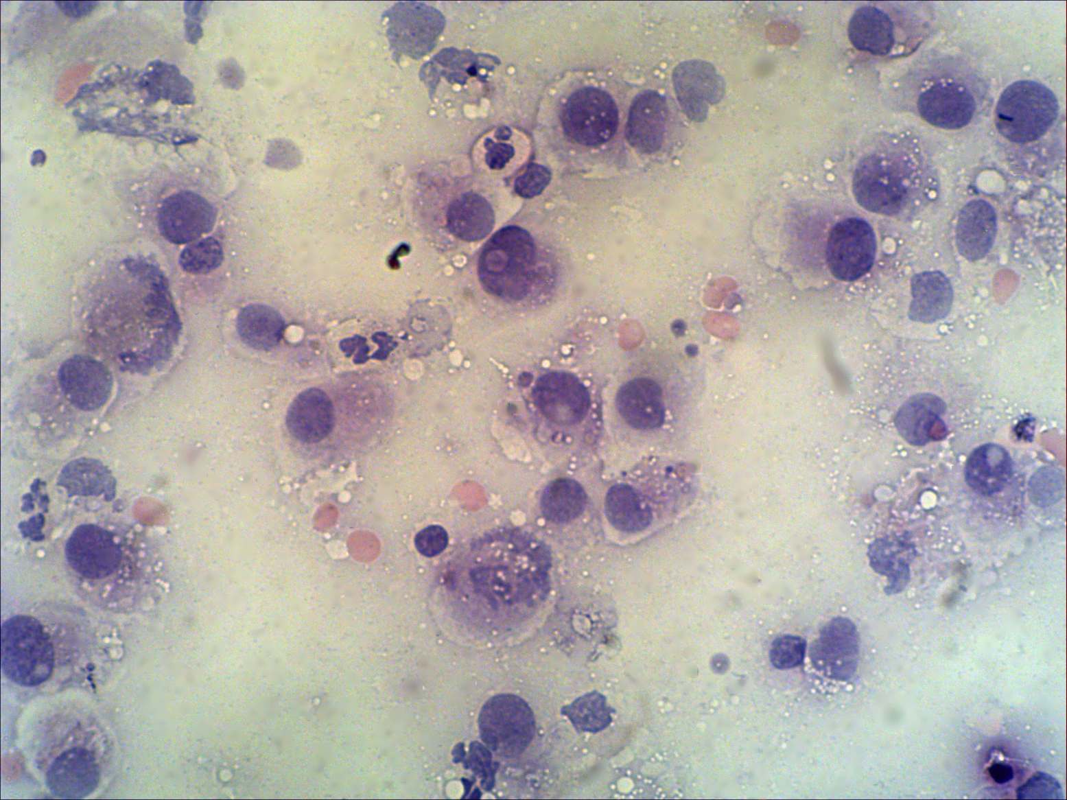
Anaplastic carcinoma - Figure 5. Cytological subtypes of anaplastic carcinoma - single cell necrosis.

Single cell necrosis is a very rare finding in the case of thyroid disesases. The only exception is anaplastic carcinoma.

CLOSE