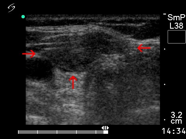
Anaplastic carcinoma - Figure 2. Ultrasound properties.

Most if not all anaplastic carcinomas occur in hypoechogenic nodules which comprises almost the entire affected lobe; only a thin normal parenchyma can be detected (marked with green arrows). Intranodular necrosis (marked with red arrows) is a frequent finding.

CLOSE


Direct spread of the tumor is a rare finding in thyroid carcinomas other than anaplastic cancer. In this case macroscopic pathology disclosed that the ventral smaller hypoechogenic area marked with red arrows corresponded to direct extracapsular spread of the tumor.