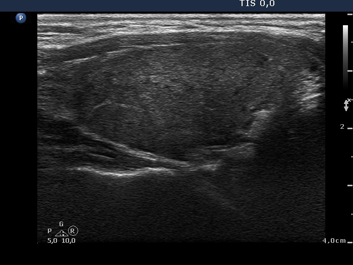
Chronic lymphocytic thyroiditis - Figure 1. Ultrasound patterns according to the degree of hypoechogenicity.

Diffuse hypoechogenicity is the most important sonographic sign of Hashimoto's thyroiditis. The degree of hypoechogenicity varies greatly, and correlates relatively well with aTPO level. We have to notice the hypoechogenicity in a euthyroid patient in order to consider the possibility of the underlying autoimmune thyroid disease and therefore to give the chance to recognize hypothyroidism later.

CLOSE

An echonormal thyroid is a very infrequent finding in Hashimoto's thyroiditis, it occurs in less than 2% of patients

An echonormal basic pattern with around 3% of hypoechogenic lesions

A minimally hypoechogenic thyroid is presented with several hypoechogenic areas.

An echonormal-minimally hypoechogenic thyroid is presented with several discrete more hypoechogenic areas.

A minimally hypoechogenic thyroid.

A moderately hypoechogenic thyroid is presented with small hypoechogenic areas.

A hypoechogenic thyroid is presented with fibrotic changes.

A severely hypoechogenic thyroid is demonstrated.