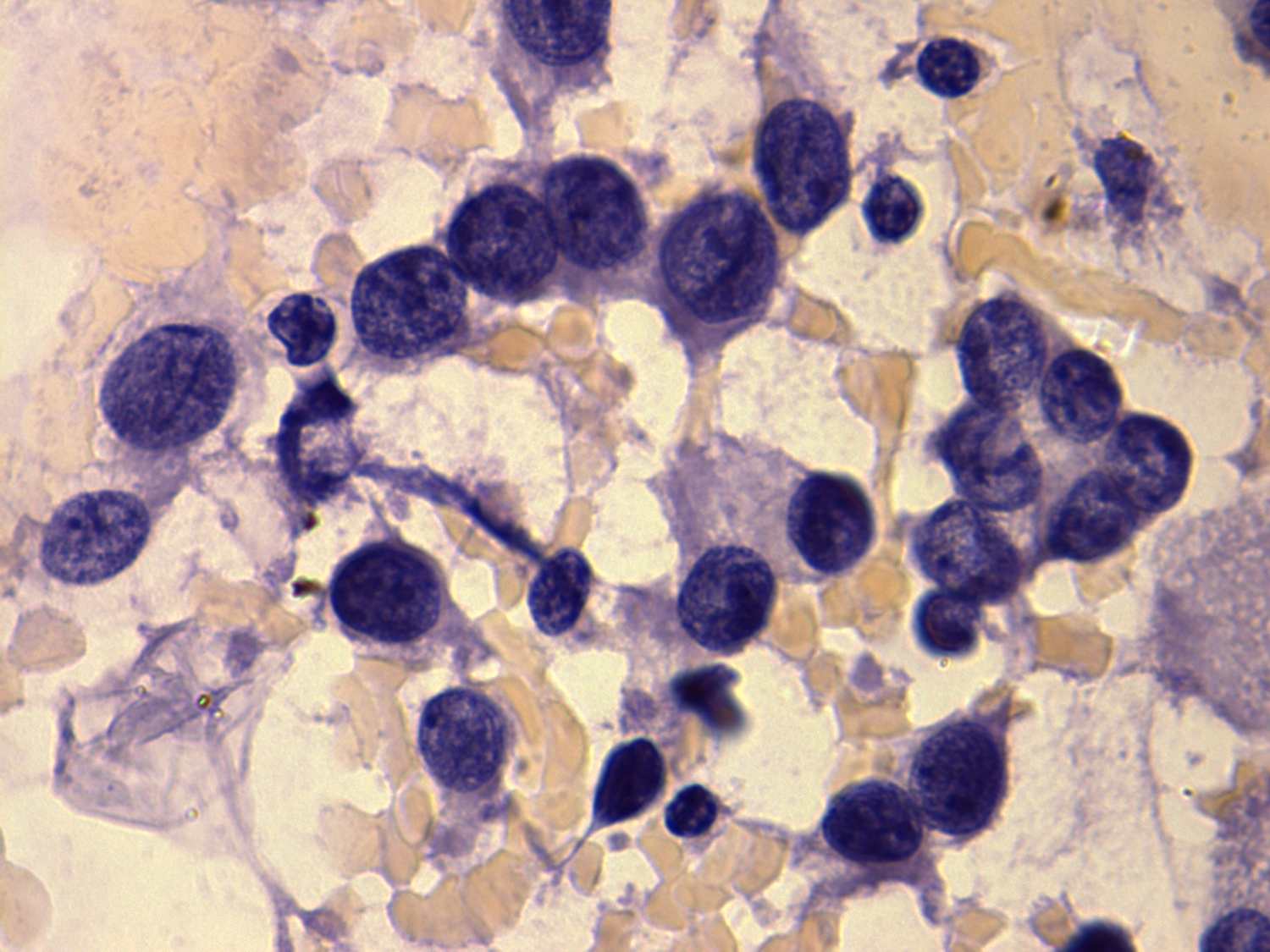
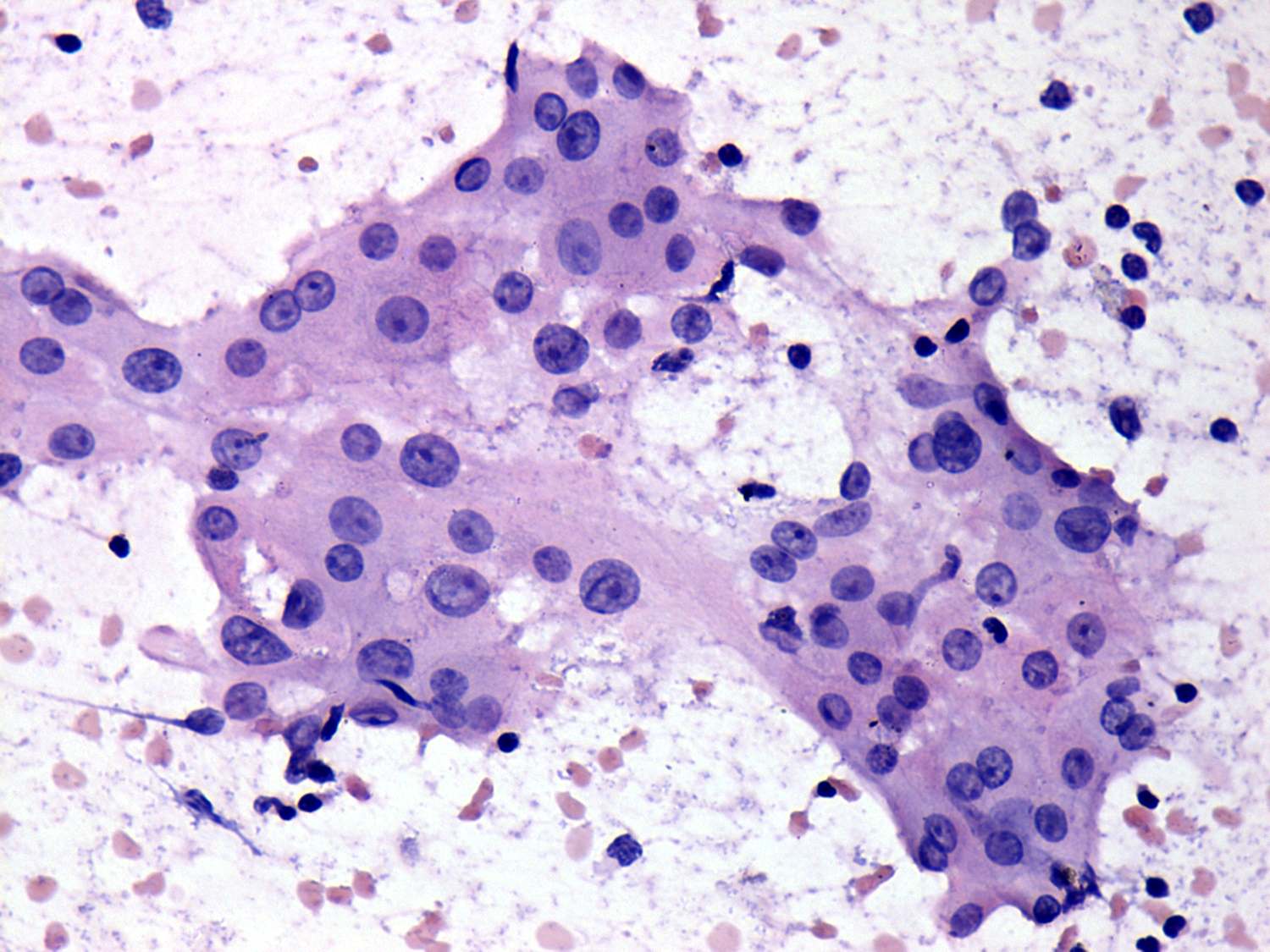
Chronic lymphocytic thyroiditis - Figure 12. Grooves and inclusions in Hashimoto's thyroiditis.

The diagnostic value of grooves and inclusions differs
significantly in metaplastic compared with non-metaplastic cells. While in the latter the positive predictive value of inclusions and grooves is very high, in the case of oxyphilic cells it has only limited importance.
CLOSE