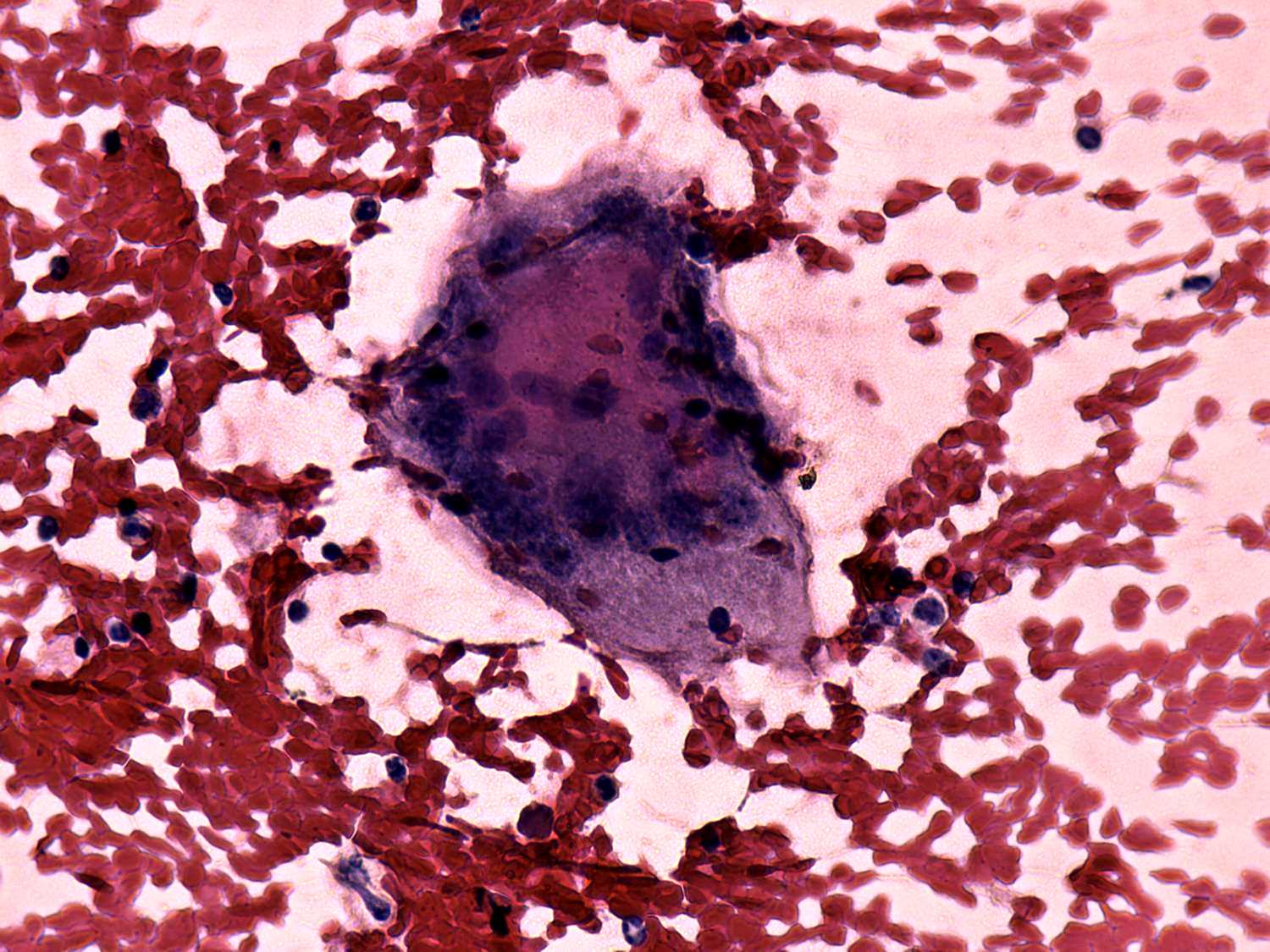
De Quervain's thyroiditis - Figure 3. Cytological presentation.

In the event of a de Quervain's thyroiditis multinucleated giant cells are in fact part of the granulation tissue. This is the most important cytological sign of de Quervain's thyroiditis. Naturally, in a cytological sample we cannot analyze an intact tissue. Therefore we must keep in mind that the finding of multinucleated giant cells on a smear itself is not enough to give the diagnosis of de Quervain's thyroiditis because benign hyperplastic nodules, papillary carcinoma, Hashimoto's thyroiditis and granulation around surgical thread may also present this cell type.
On the other hand, a multinucleated giant cell composed of elongated epitheloid cells is an almost pathognomic finding. The images in the first row demonstrate multinucleated cells composed of follicular cell while the images in the second row present multinucleated giant cells composed of epitheloid cells. The multinucleated cells in the third row contain both follicular cells and epitheloid cells.

CLOSE