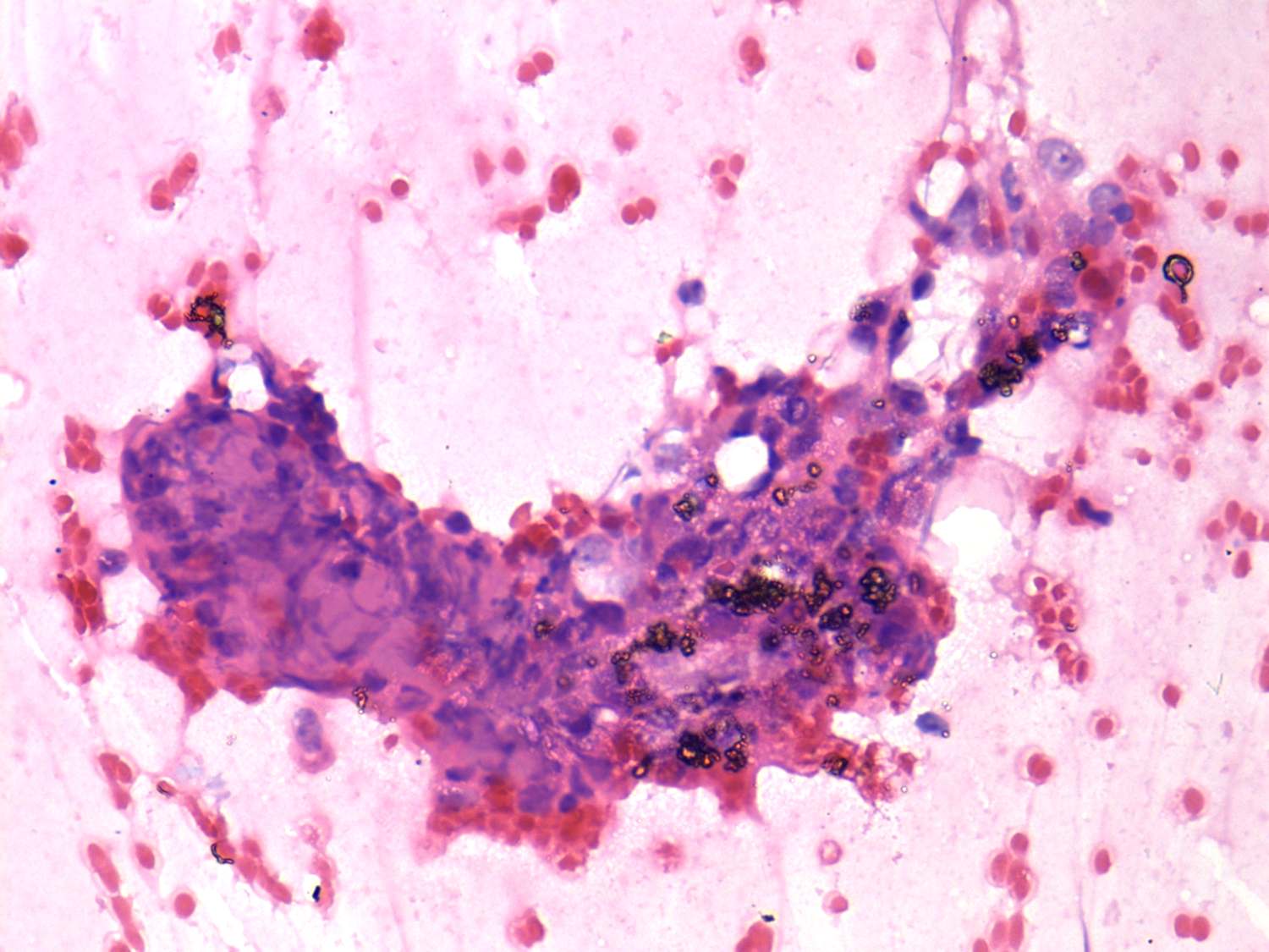
De Quervain's thyroiditis - Figure 4. Cytological presentation. The pathognomic sign of a de Quervain's thyroiditis would be a granulation tissue. Because of the size of this structure, we cannot aspirate in toto and therefore only part of the granulation tissue can be seen in cytology. In certain cases we can recognize this in cytological smears. |
|||
|
|||