|
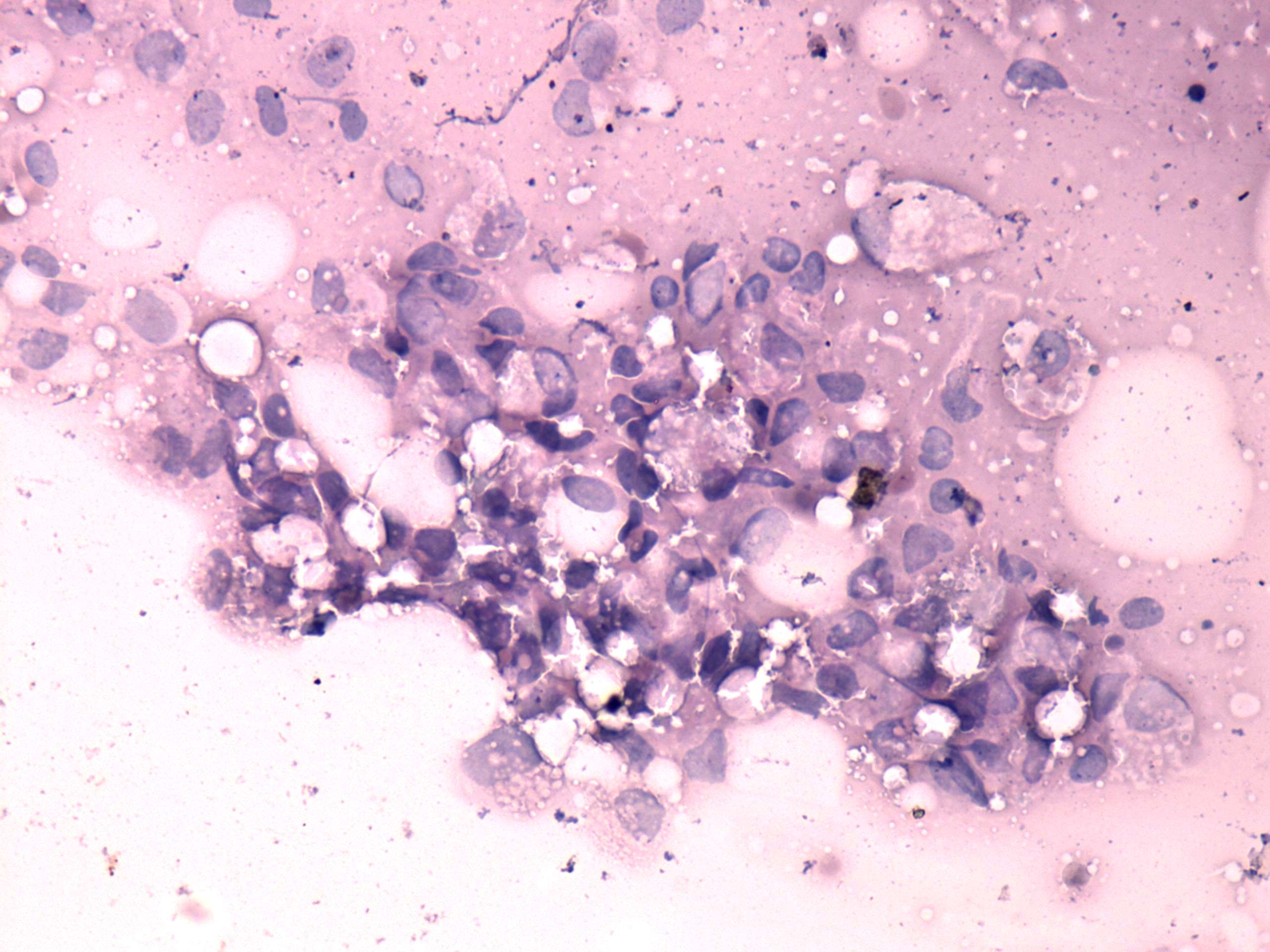
De Quervain's thyroiditis - Figure 5. Cytological presentation. The lack of multinucleated giant cells in the cytological sample is a relatively frequent situation. In such cases it is even more important being the cytopathologist fully informed about the clinical and sonographic data in order to avoid the misinterpretation of inflammatory cells on the smear as signs of autoimmune thyroiditis. The lack of oxyphilic cells and the absence of hypertrophy of follicular cells are the most important cytological properties in such cases. The finding of colloid globlets is also an important sign because this figure is not involved in the cytological pattern of an autoimmune thyroiditis. |
|||||
|
|||||
|
|
|||||