Characteristic ultrasound property - demonstration of a capsule only by Doppler mode
Follicular adenoma - Case 29

Follicular carcinoma - Case 11

Follicular carcinoma - Case 9

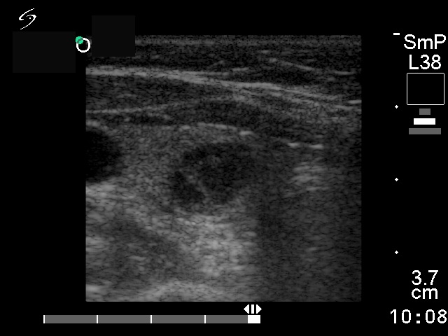
Follicular adenoma - Case 24

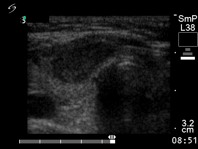
Follicular adenoma - Case 23

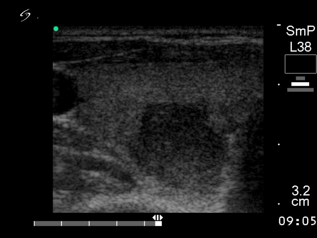
Follicular adenoma - Case 18

There are mainly two causes why not to demonstrate a halo sign on ultrasound. Firstly, the echostructure of the nodule may be identical with that of the capsule. This was the situation in the cases presented in the first 5 image pairs. Secondly, the capsule may be comprised and therefore we cannot find it on ultrasound. (See sixth image-pair.) In these situations the presence of a capsule may be evaluated by Doppler mode i.e. by the demonstration of vessels running in the capsule. There is a third possibility when a halo sign cannot be displayed, in the event of the so-called eggshell calcification. See next Table.

mask