Differential diagnostics of follicular proliferation (I)
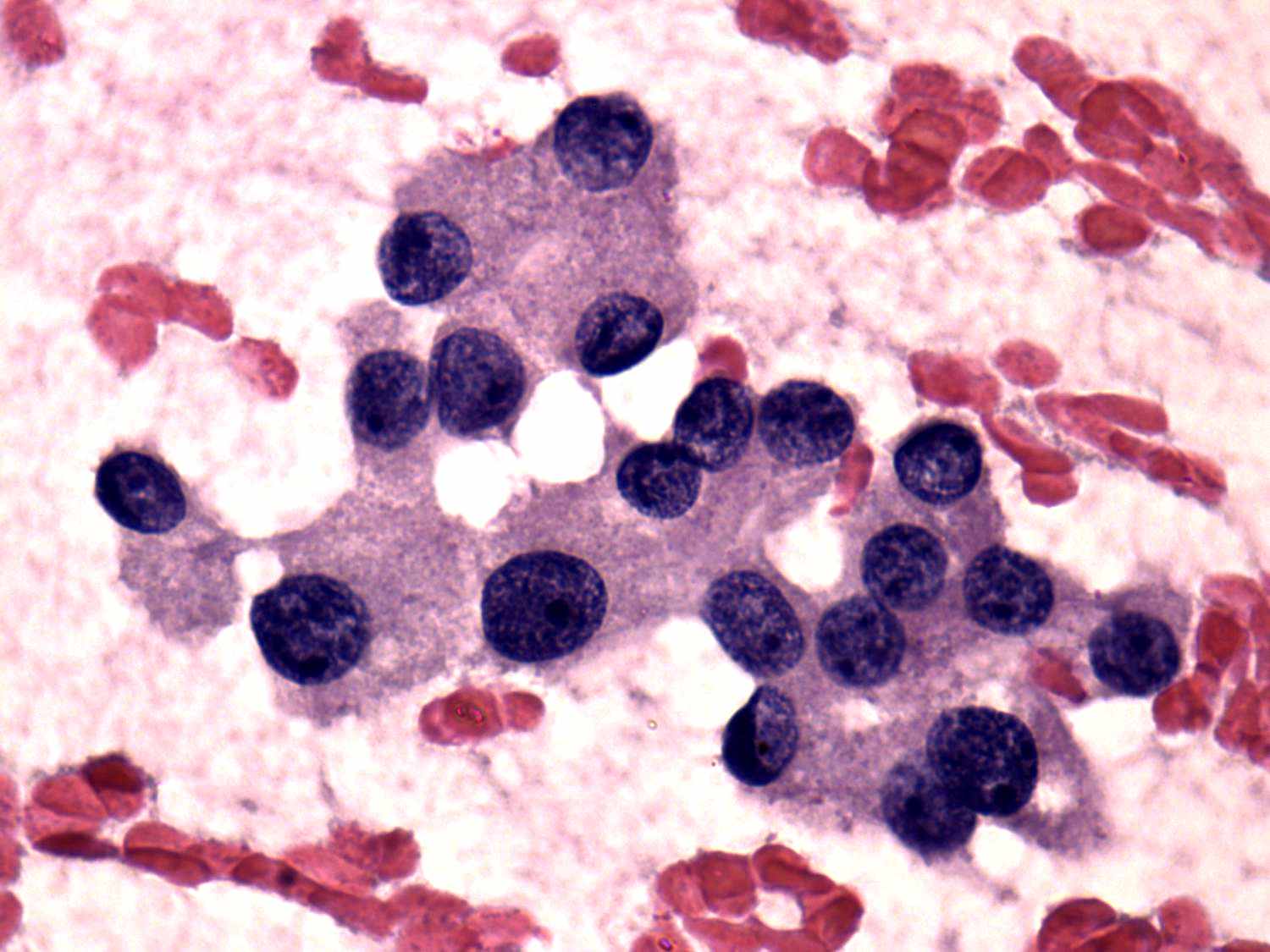
Follicular carcinoma - Case 9
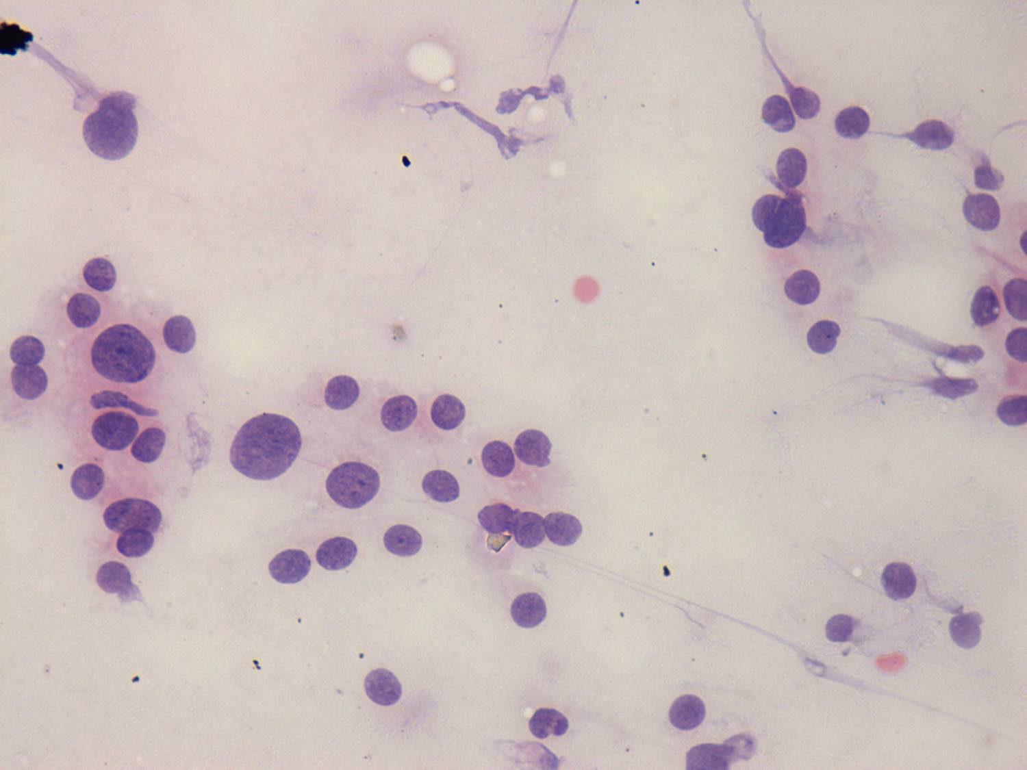
Chronic lymphocytic thyroiditis - Case 43

Follicular carcinoma presents microfollicular and lymphocytic thyroiditis a mixed micro-normofollicular proliferation. There is no difference regarding the atypia. The only cytological sign which raises the possibility of thyroiditis in the right case is the presence of nuclear debris.
mask