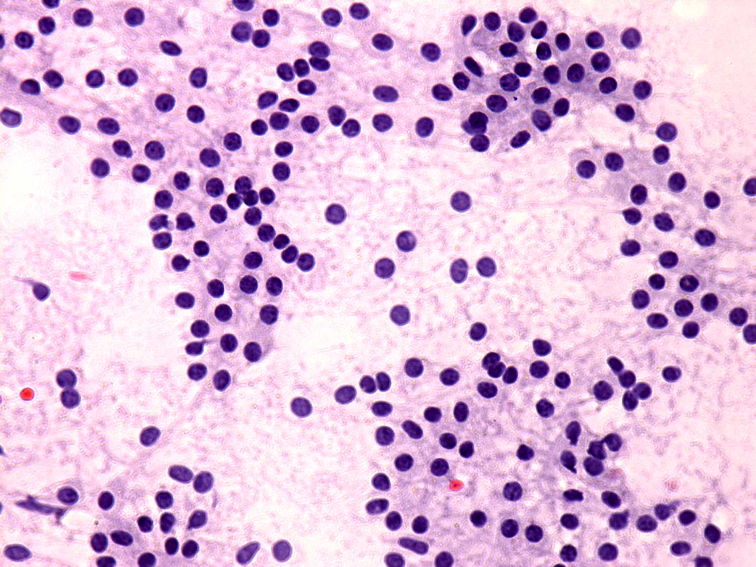
Graves' hyperthyroidism. - Figure 2. Cytological features - cellular arrangement.

The typical cellular presentation of Graves' disease is a loose, monolayered sheet. These structures are composed of normo- and microfollicles.

CLOSE