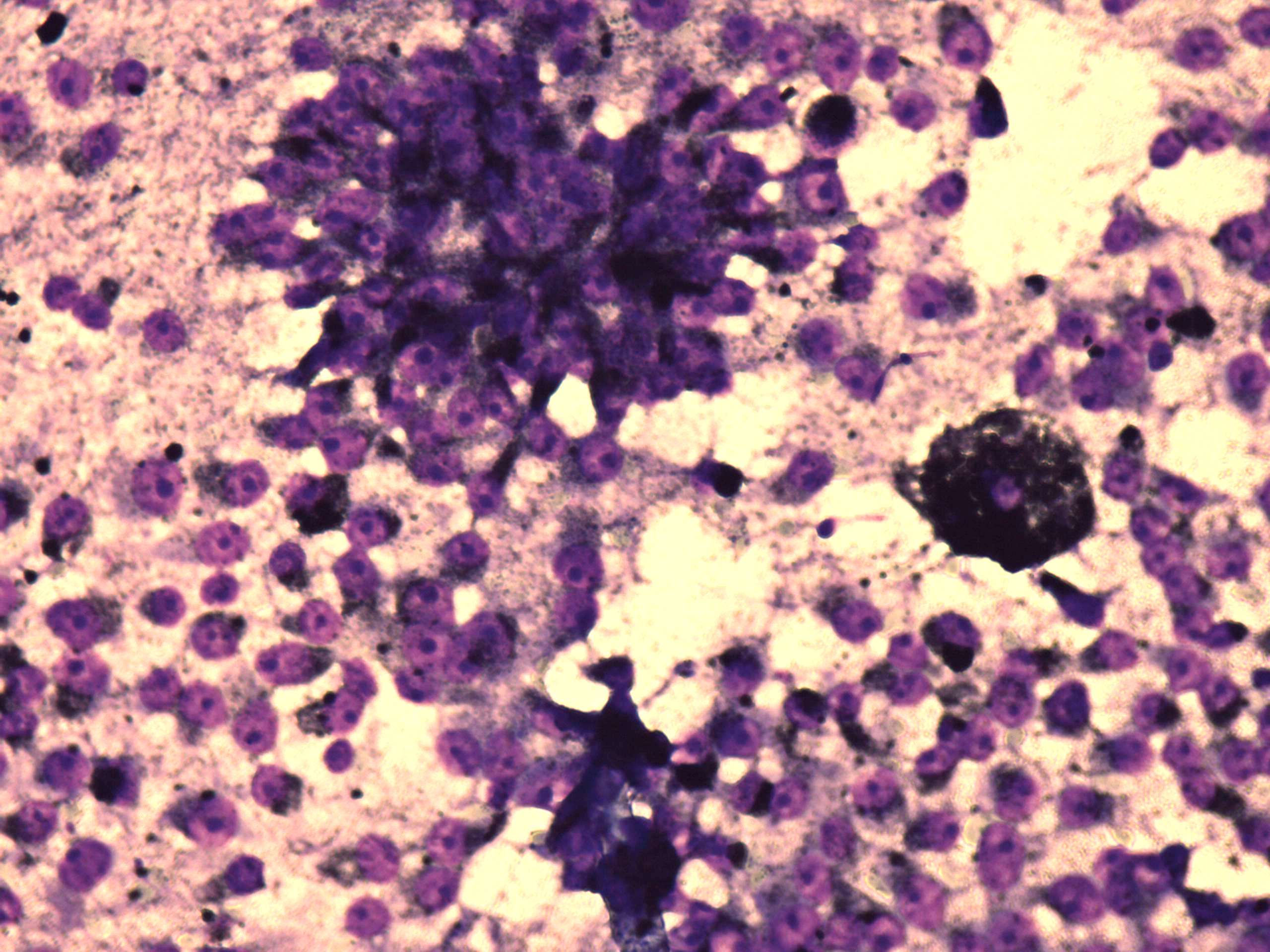
The borders of the nodule - case 1481 (cytologic picture 4 of another smear)


Previous picture Back to Case Maximize Next picture

Right lobe, longitudinal scan

Wright-Giemsa staining, 400x.   Note prominent nucleoli.

 

 

 

mask