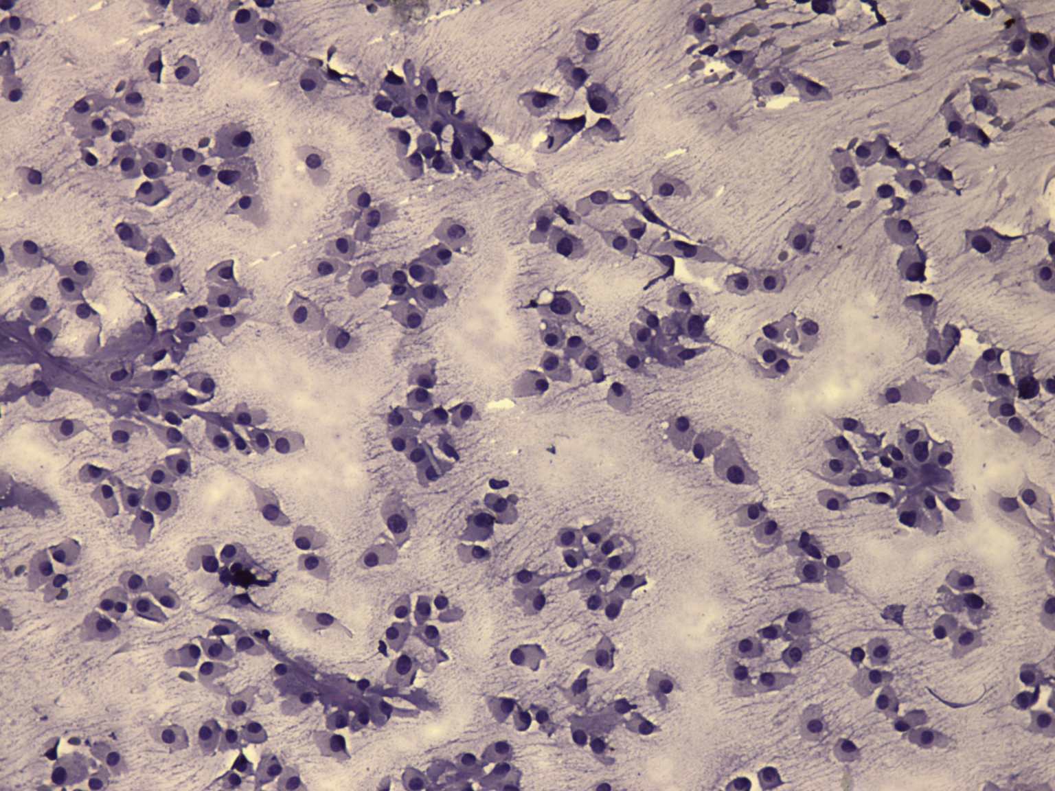
The borders of the nodule - case 1484 (cytologic picture 2)
|
|
|
![]() |
|
Pap-smear, 200x. This is a very cellular pattern. Dispersed, polygonal cells occur predominantly dissociated. There is a syncytial cluster in the left side of the image.

