The borders of the nodule - case 1527 (cytologic picture 5)


Previous picture Back to Case Maximize Next picture

Right lobe, longitudinal scan

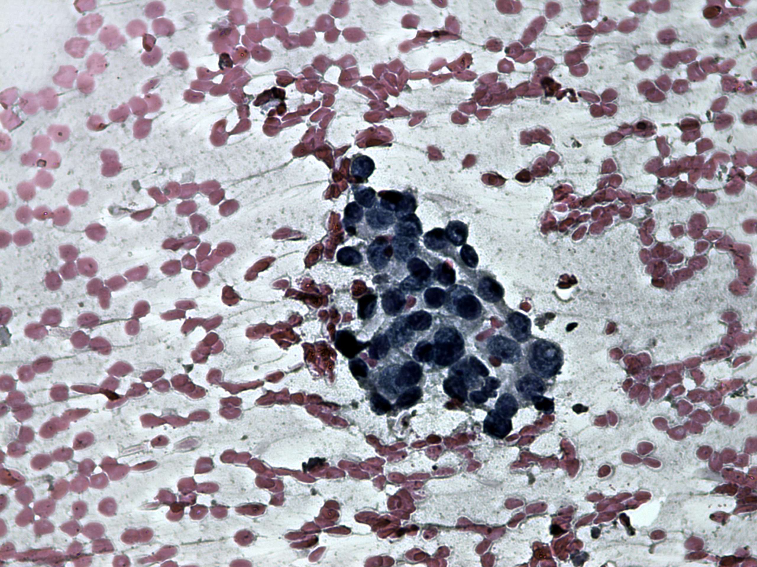
Pap-smear, 400x.   The intranuclear hole is not regular. This is probably an artifact.

mask