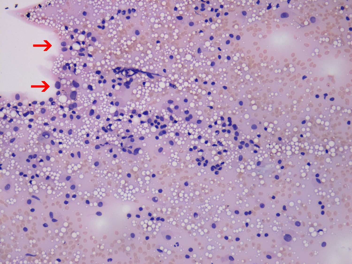
The borders of the nodule - case 186 (cytologic picture 3)
|
|
|
![]() |
|
Pap-smear, 200x. Follicular cells display high degree of anisonucleosis. Arrows point to several enlarged follicular cells.

