The borders of the nodule - case 186 (cytologic picture 6)


Previous picture Back to Case Maximize  

Right lobe, longitudinal scan

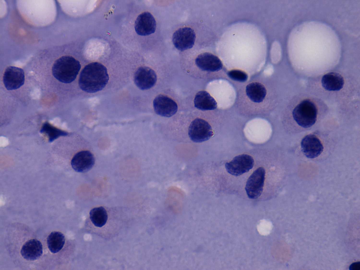
Pap-smear, 1000x.   The nuclei have fine granular chromatin structure.

mask