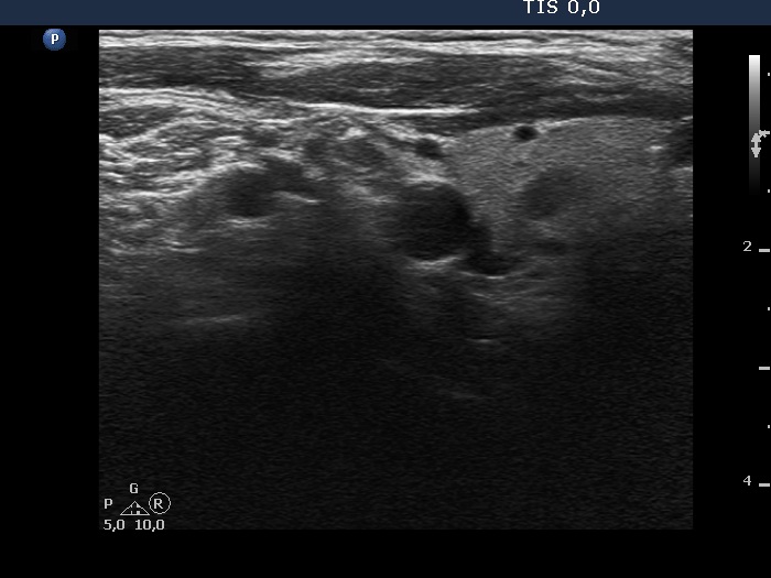
The borders of the nodule - case 2050 (ultrasonographic picture 7)


Previous picture Back to Case Next picture

Right lobe, longitudinal scan

Lateral to the right lobe, longitudinal scan. This hypoechoic mass could be either a lymph node or a muscle fiber.

 

 

 

 

mask