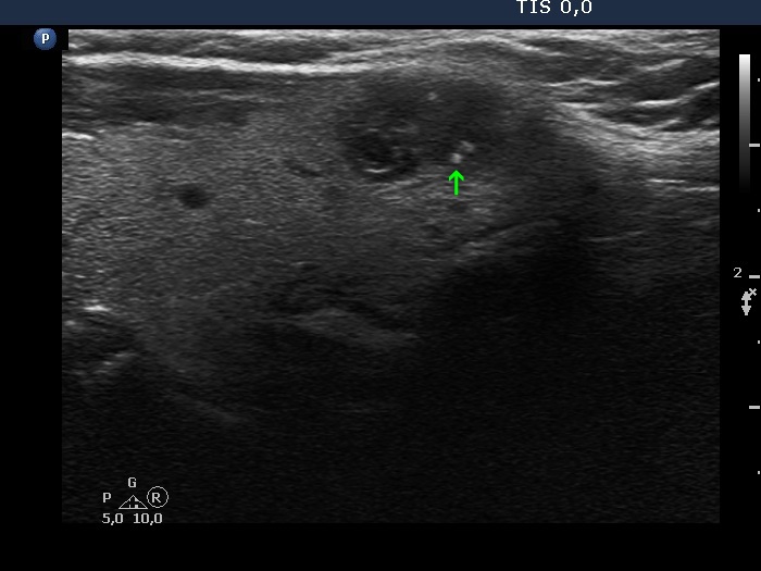
The borders of the nodule - case 2069 (ultrasonographic picture 3b)
|
|
|
|
Left lobe, another longitudinal scan. The origin of the hyperechoic granules is obscure. The most dorsal one (marked with green arrow) is prebably composed of two punctate echogenic granules (microcalcifications).
