The borders of the nodule - case 2109 |
|
Clinical presentation: A 54-yr-old woman came to a routine follow-up examination. She has been diagnosed with a cystic thyroid nodule for 10 years. Cytology repeatedly resulted in benign cystic-colloid goiter. She had no complaints.
Palpation: no abnormality.
Laboratory tests: TSH 1.53 mIU/L, aTPO < 0.5 U/mL.
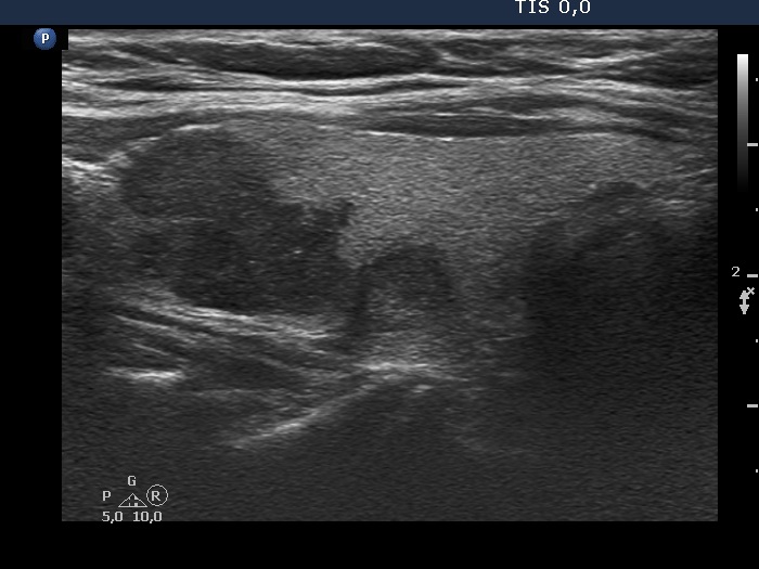
Ultrasonography. The thyroid was echonormal. There were several hypoechogenic nodules in the right lobe. One of the nodules had spiculations. There was a hypoechogenic nodule in the lower part of the right lobe. This lesion presented micro- and macrocalcifications.
Cytology was performed both from the hypoechoic large lesion and from the nodule in the lower pole. The diagnosis was in both cases benign, colloid goiter.
Comment. The hypoechoic mass in the right lobe presented undulated margins of non-pathological cause. One of the nodules of this mass had irregular, spiculated borders.




