The borders of the nodule - case 469 (cytologic picture 3)


Previous picture Back to Case Maximize Next picture

Right lobe, longitudinal scan

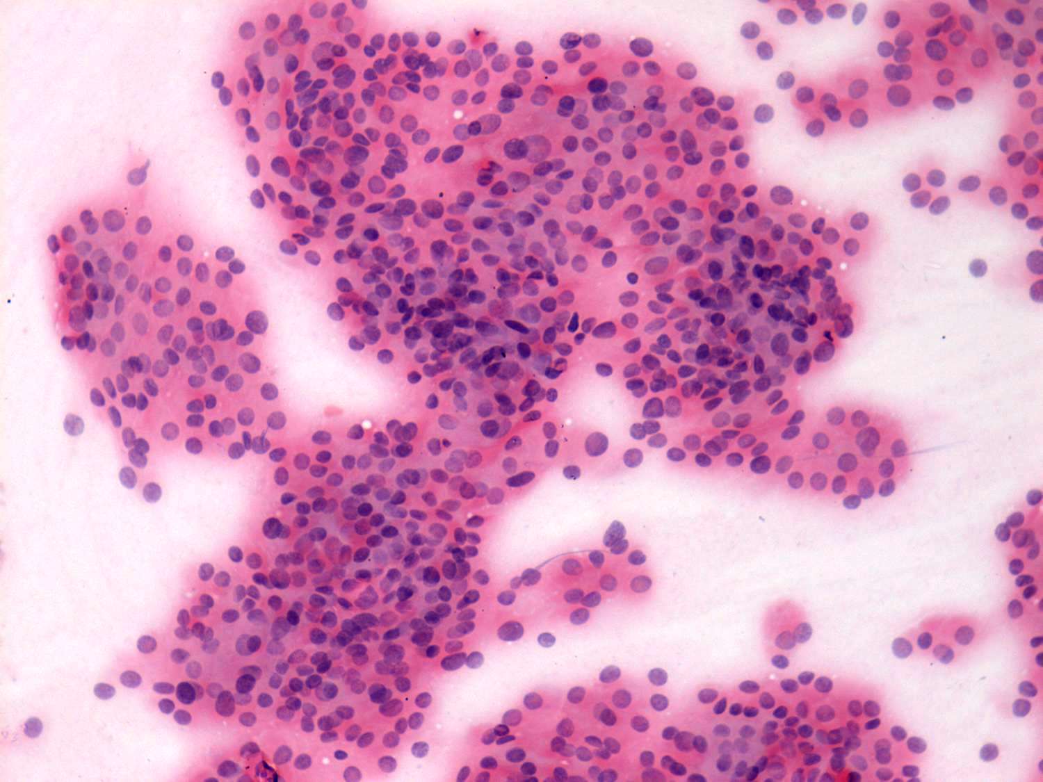
Pap-smear, 200x (intraoperative imprint)   Follicular cells display nuclear crowding and overlapping.

mask