The borders of the nodule - case 469 (cytologic picture 5)


Previous picture Back to Case Maximize Next picture

Right lobe, longitudinal scan

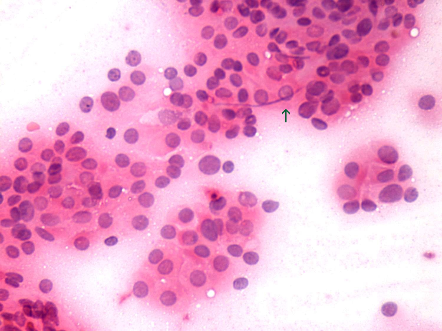
Pap-smear, 400x (intraoperative imprint)  The green arrow points to an inclusion.

mask