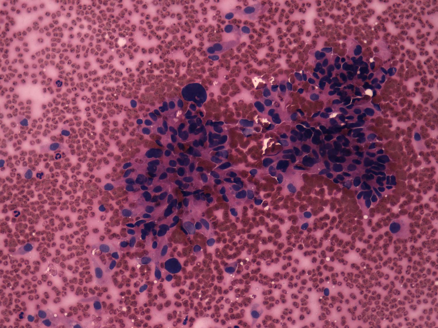
The borders of the nodule - case 638 (cytologic picture 2)


Previous picture Back to Case Maximize Next picture

Right lobe, longitudinal scan

H.-E. smear, 200x.   Atypical pleomorphic forms are demonstrated.

mask