The borders of the nodule - case conp 027 (cytologic picture 1)
|
|
|
![]() |
|
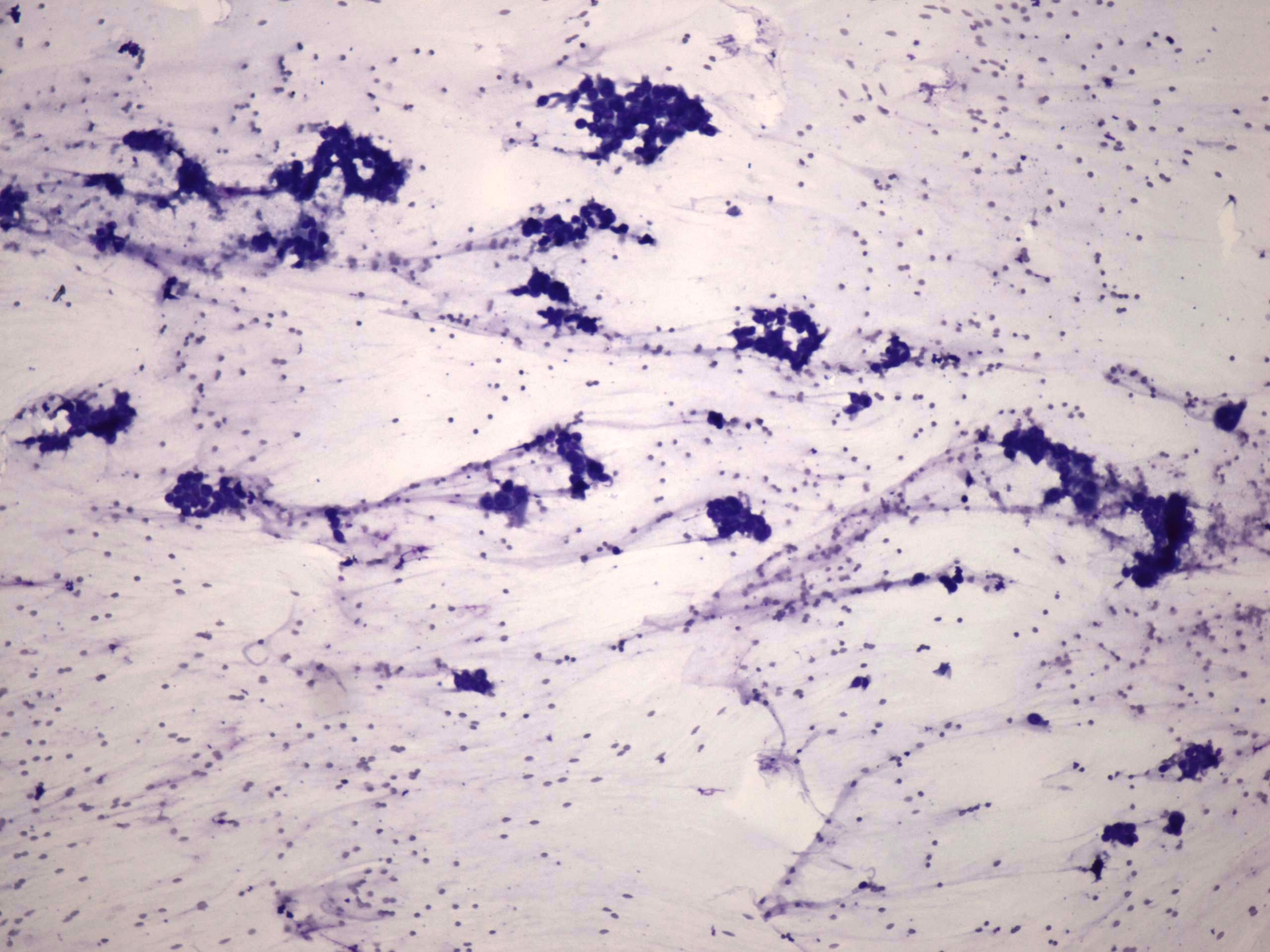
Wright-Giemsa staining, 40x. There is no colloid in the background. Follicular cells are located in small, cohesive groups.

