The borders of the nodule - case conp 027 (cytologic picture 3)


Previous picture Back to Case Maximize Next picture

Right lobe, longitudinal scan

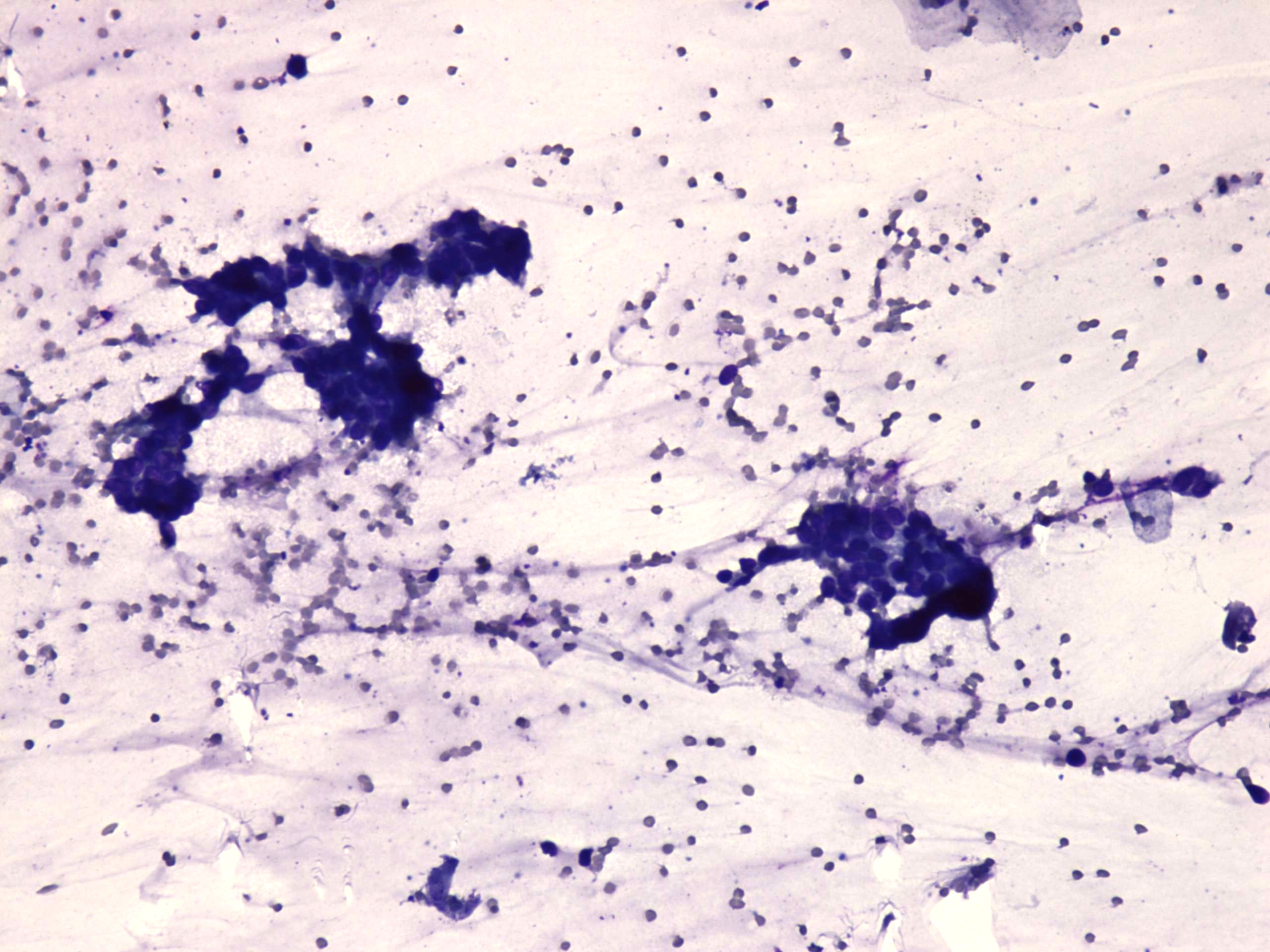
Wright-Giemsa staining, 100x.   An irregular cluster with nuclear crowding and overlapping.

mask