The borders of the nodule - case conp 027 (cytologic picture 5)


Previous picture Back to Case Maximize Next picture

Right lobe, longitudinal scan

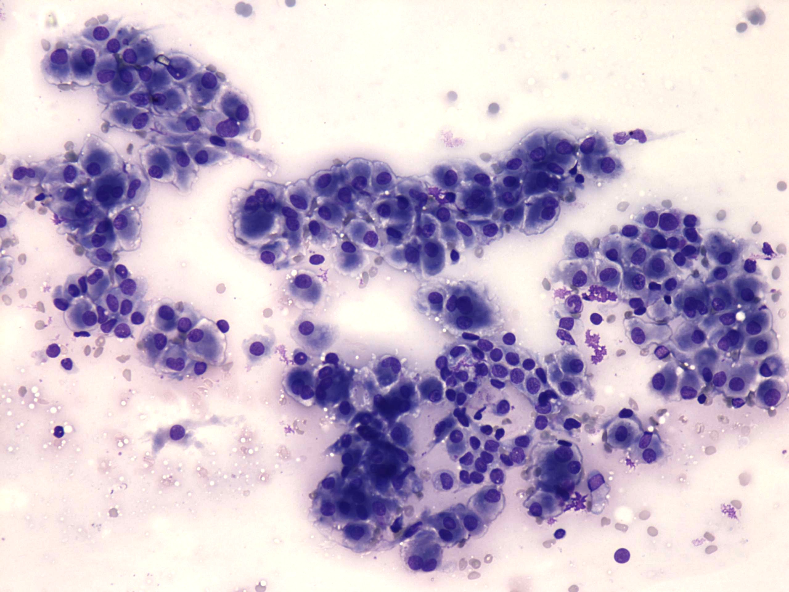
Wright-Giemsa staining, 200x.   There are loose clusters of follicular cells presenting vacuolization.

mask