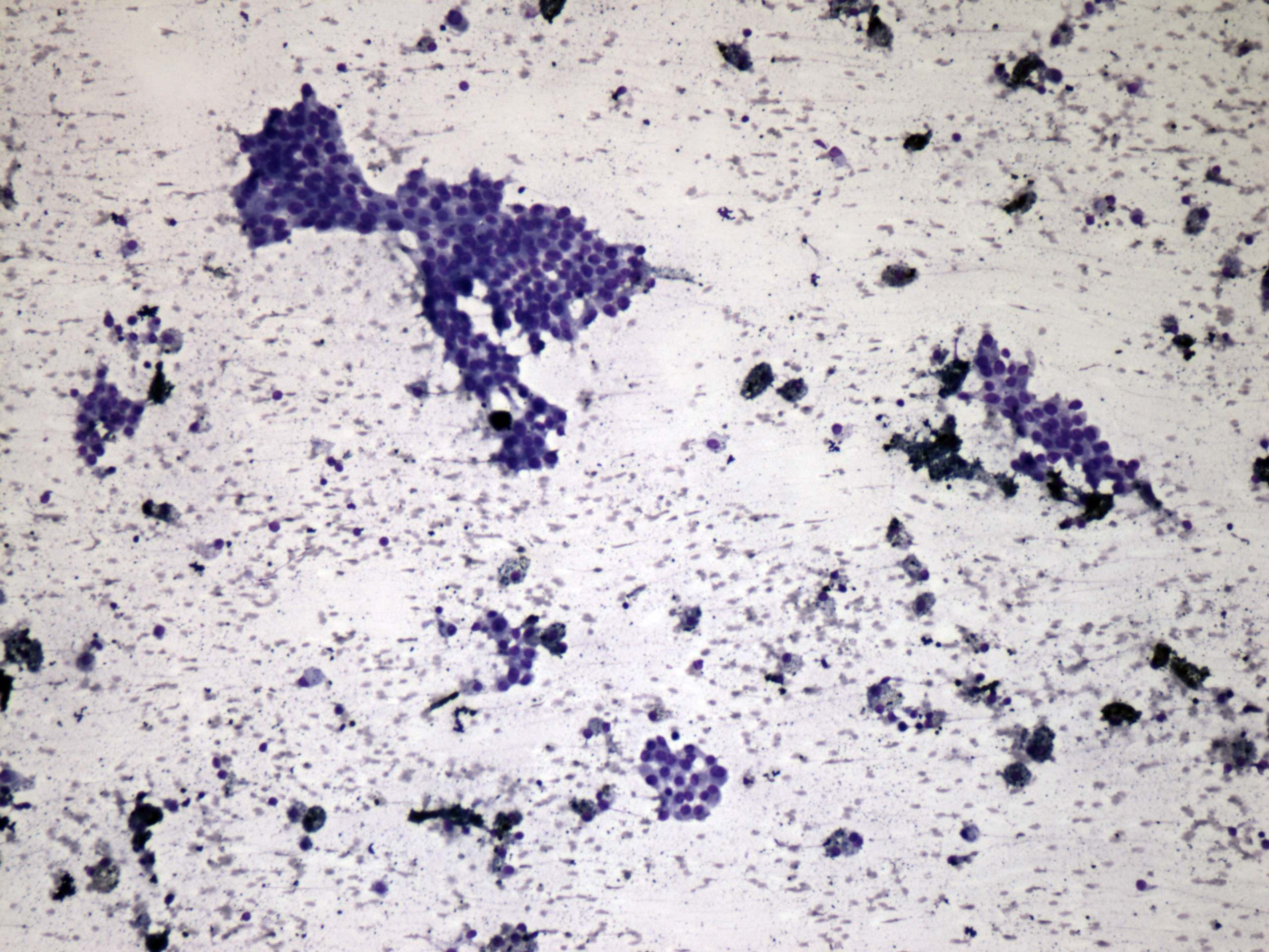
The borders of the nodule - conp 042 (cytologic picture 1)
|
|
|
![]() |
|
Wright-Giemsa staining, 100x. Follicular cells are located in monolayered sheets. There are many macrophages in the background.

