The borders of the nodule - conp 042 (cytologic picture 8)


Previous picture Back to Case Maximize Next picture

Right lobe, longitudinal scan

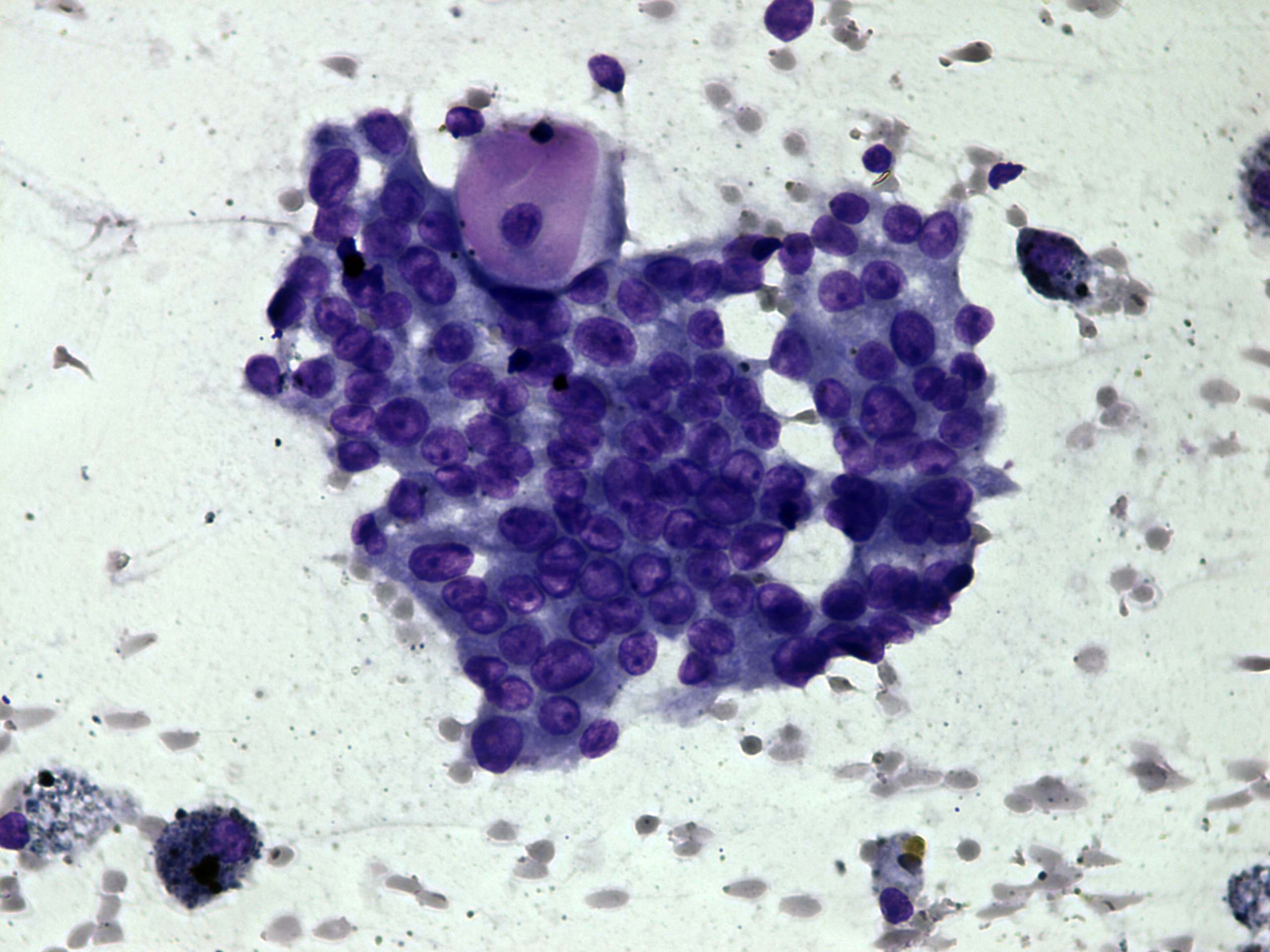
Wright-Giemsa staining, 400x.   There is an irregular cluster in which several nuclei present grooves within.

mask