The borders of the nodule - conp 042 (cytologic picture 10)


Previous picture Back to Case Maximize Next picture

Right lobe, longitudinal scan

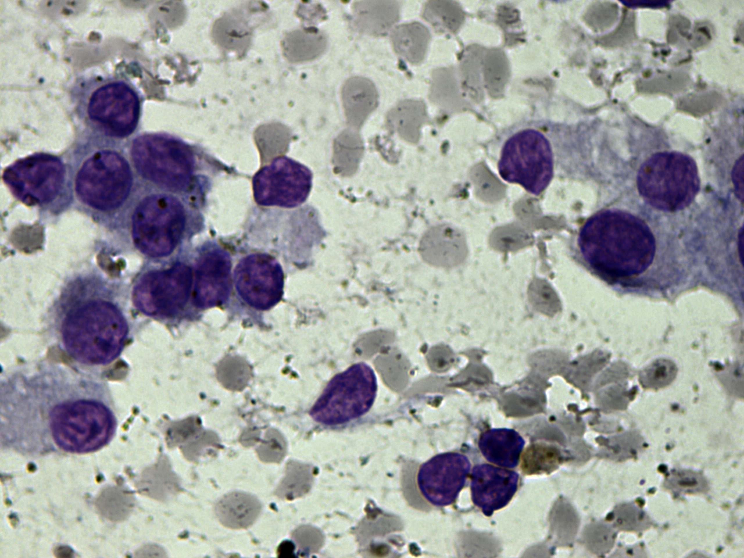
Wright-Giemsa staining, 1000x.   The chromatin structure is coarsely granular.

mask