The borders of the nodule - case conp 044 (cytologic picture 5)


Previous picture Back to Case Maximize Next picture

Right lobe, longitudinal scan

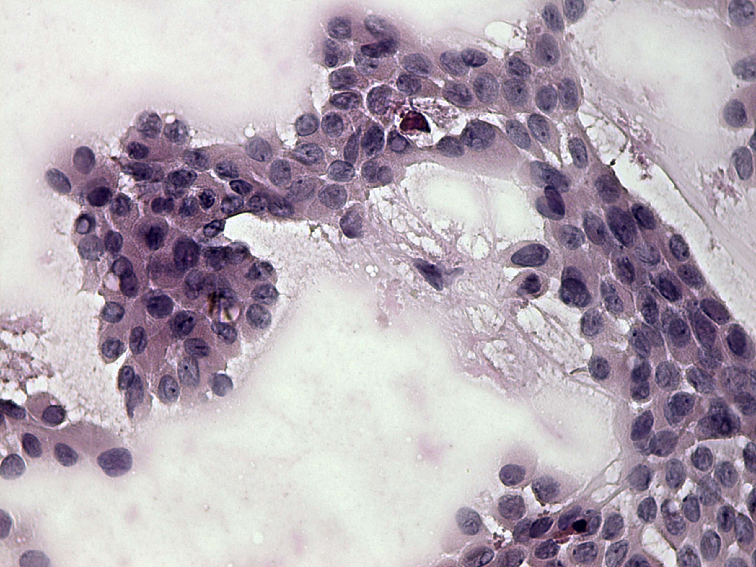
Pap-smear, 400x.   Many nuclei contain inclusion or groove.

mask