The borders of the nodule - case conp 051 (cytologic picture 2)


Previous picture Back to Case Maximize Next picture

Right lobe, longitudinal scan

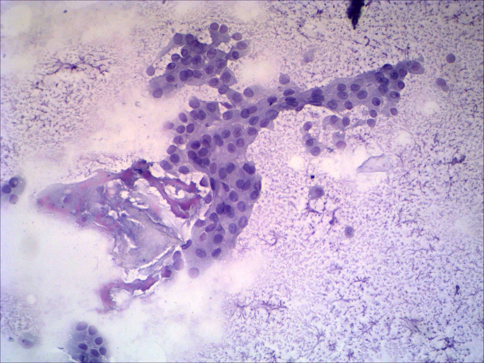
Pap-smear, 200x.   Monolayered sheets of cells are presented. Note the loss of polarity of the thyrocytes.

mask