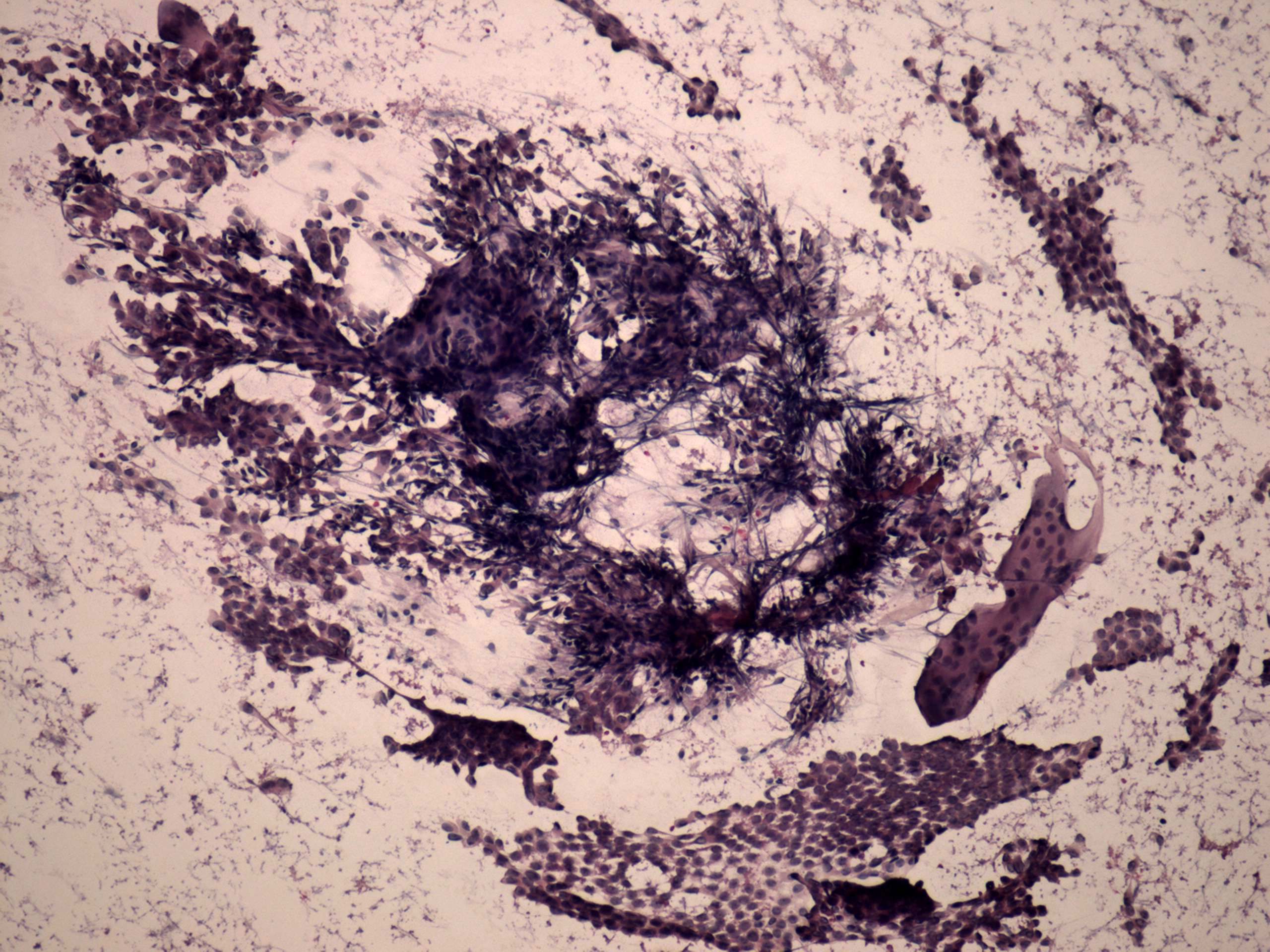
The borders of the nodule - case conp 060 (cytologic picture 1)
|
|
|
![]() |
|
Pap-smear, 100x. There is no colloid in the background. Follicular cells occur in monolayered sheets and in irregular clusters. Note the presence of multinucleated and various inflammatory cells.

