The borders of the nodule - case conp 060 (cytologic picture 3)


Previous picture Back to Case Maximize Next picture

Right lobe, longitudinal scan

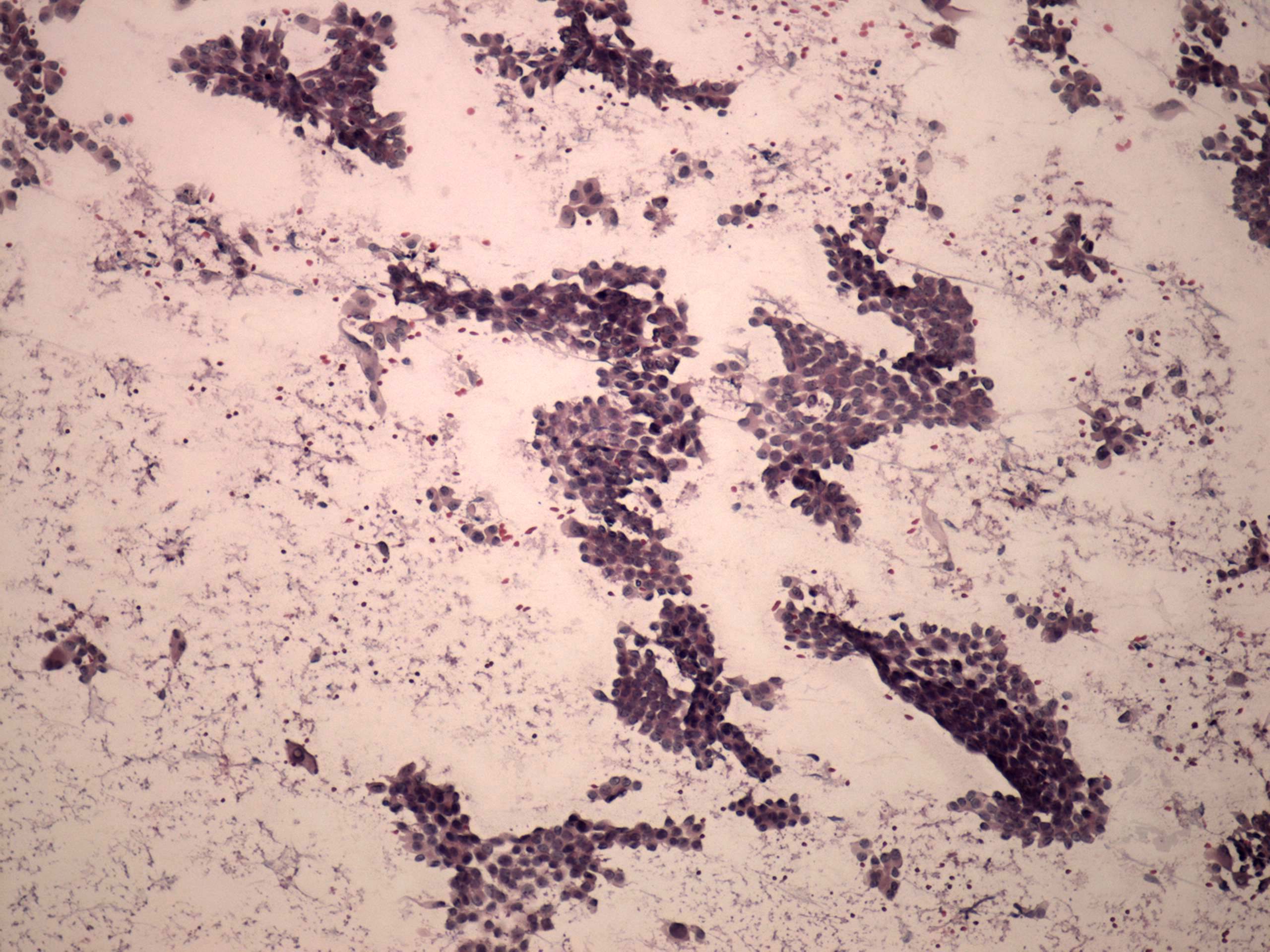
Pap-smear, 100x.  Follicular cells have abundant cytoplasm.

mask