The borders of the nodule - case conp 060 (cytologic picture 6)


Previous picture Back to Case Maximize Next picture

Right lobe, longitudinal scan

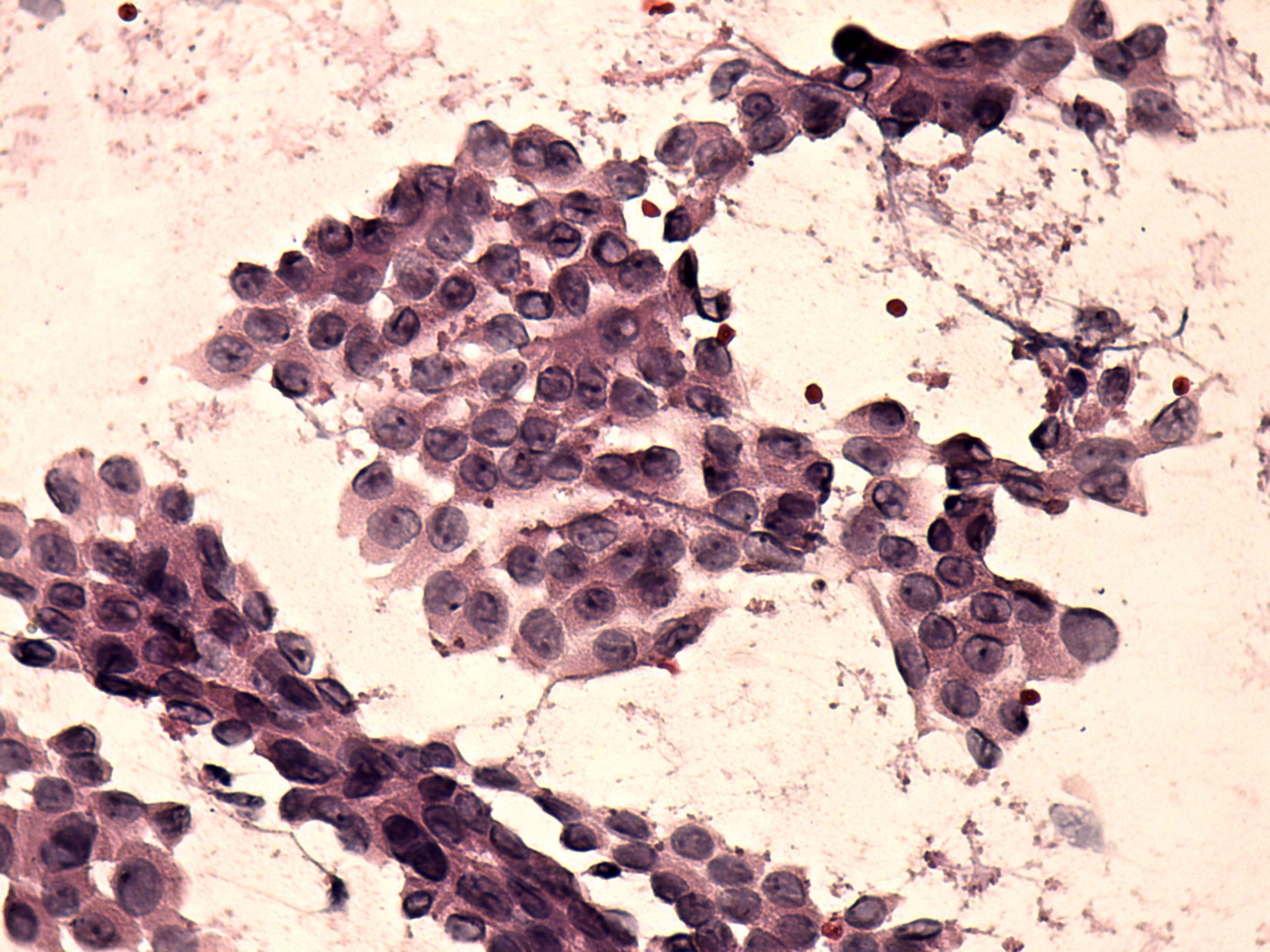
Pap-smear, 400x.   Many cells contain intranuclear inclusion or groove.

mask