The borders of the nodule - case conp 060 (cytologic picture 12)


Previous picture Back to Case Maximize  

Right lobe, longitudinal scan

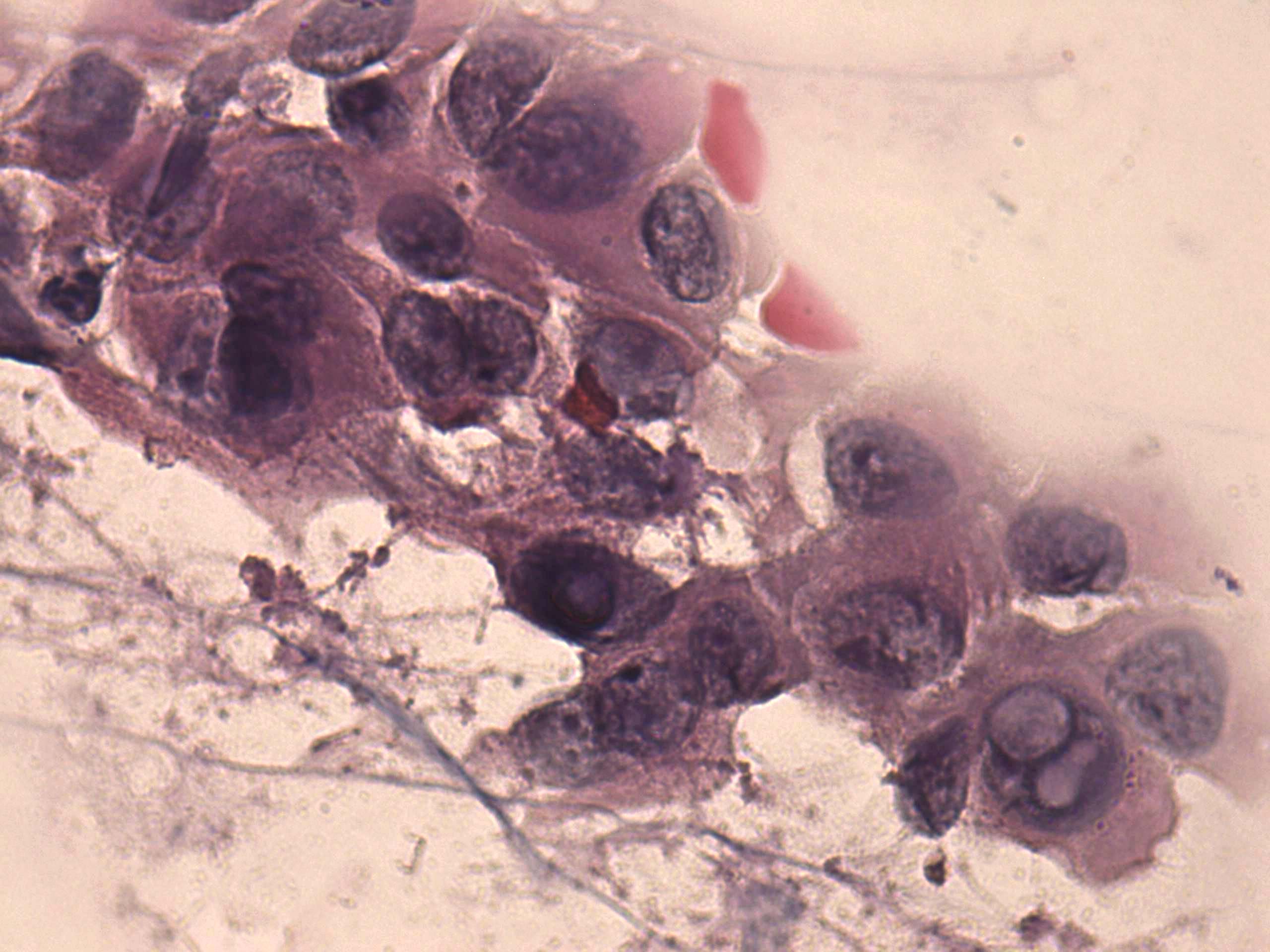
Pap-smear, 1000x.  There is a nucleus with a double inclusion. Follicular cells present mild pleomorphism.

mask