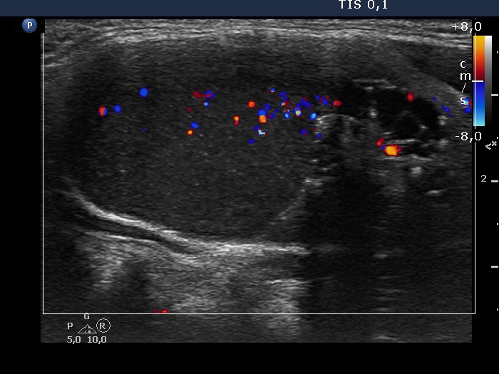
The composition of the nodule - case 126 (ultrasonographic picture 6)
|
|
|
|
Left lobe, longitudinal scan, color Doppler mode. The pattern of the upper 4/5 of the lesion is deceptive: this part of the nodule contained cystic fluid, so the blue and red spots do not correspond to vessels.
