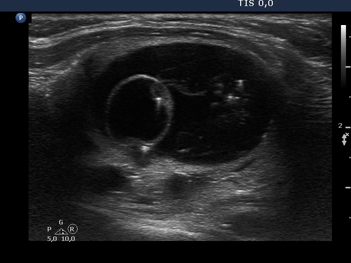
The composition of the nodule - case 1297 (ultrasonographic picture 4)
|
|
|
|
Left lobe, longitudinal scan. The unusual, ring-shaped part might correspond to the solid part which had undergone cystic degeneration.
