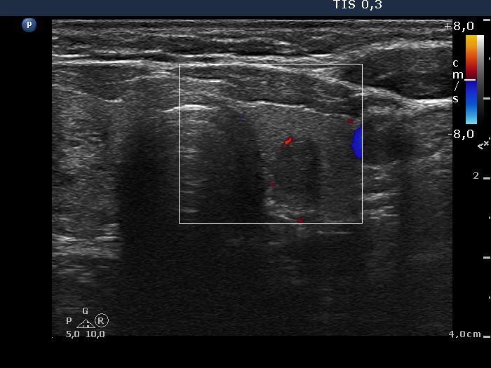
The composition of the nodule - case 1473 (ultrasonographic picture 8)


Previous picture Back to Case Next picture

Right lobe, longitudinal scan

Left lobe, transverse scan, color Doppler mode. The vascularization is not specific.

mask