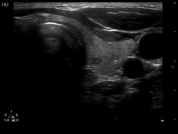
The composition of the nodule - case 1511 (ultrasonographic picture 8)


Previous picture Back to Case Next picture

Right lobe, longitudinal scan

Left lobe, transverse scan. This lobe is echonormal and has a small insignificant lesion.

 

 

 

 

mask