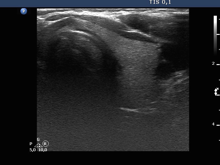
The composition of the nodule - case 1579 (ultrasonographic picture 4)


Previous picture Back to Case Next picture

Right lobe, longitudinal scan

Left lobe, transverse scan. This lobe is intact.

 

 

 

 

mask