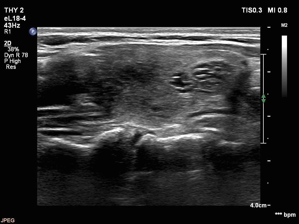
The composition of the nodule - case 2125 (ultrasonographic picture 8)


Previous picture Back to Case Next picture

Right lobe, longitudinal scan

Left lobe, another longitudinal view. The lobe had indeed two spongiform cystic nodules.

 

 

 

 

mask