The composition of the nodule - case 2176
Two months after the sclerotherapy (ultrasonographic picture 4)
|
|
|
|
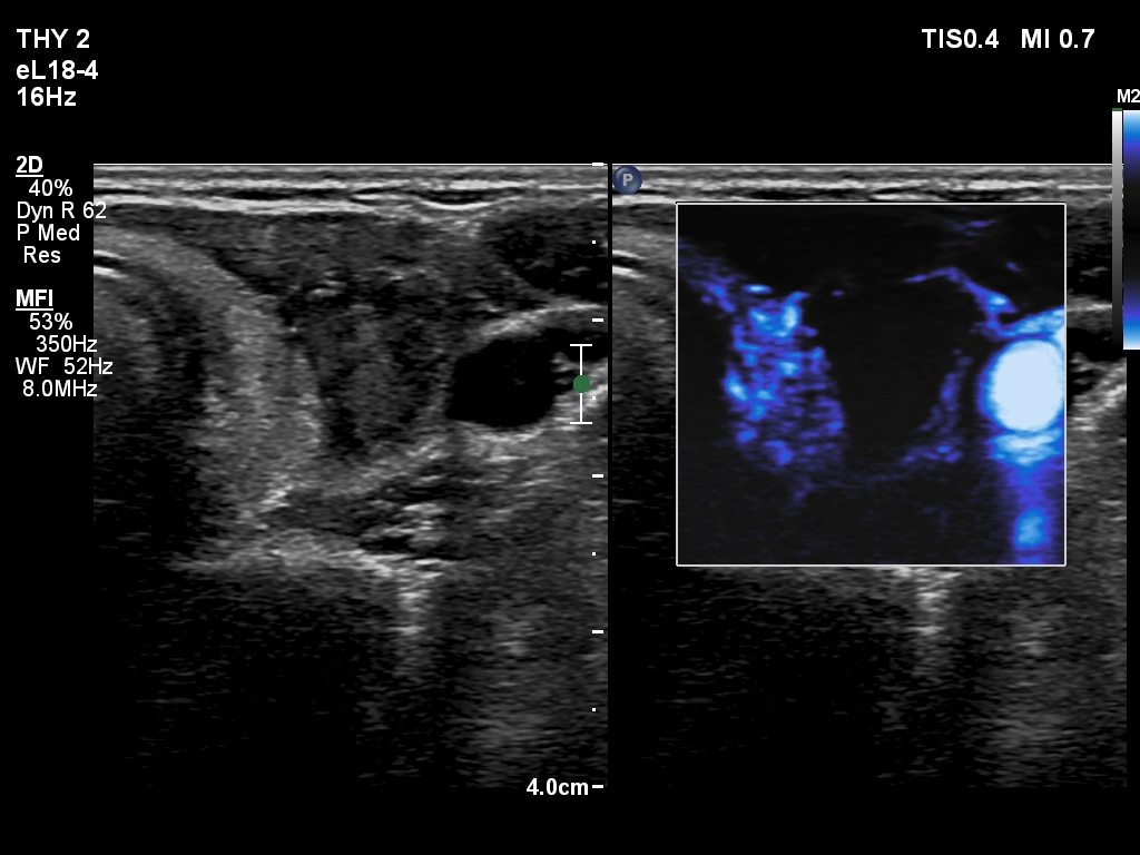
Left lobe, transverse scan, microflow imaging. There are only two vessels within the nodule, these are in the medial part.
