The composition of the nodule - case 2179 |
|
Clinical presentation: A 73-year-old woman came to a follow-up examination. She has been treated for autonomously functioning adenoma with ethanol sclerotherapy for 16 years. The adenoma was located in the upper pole of the left lobe and its dimensions were 18x15x25 mm (width, depth and length, respectively) before the sclerotherapy. The clinical hyperthyroidism had been resolved and the thyrostatic therapy had been discontinued just after the sclerotherapy. In the upcoming 10 years she remained euthyroid. The recent examination was initiated because of ventricular tachycardia.
Palpation: Both lobes had not firm nodules.
Functional state: euthyroidism with TSH 1.87 mIU/L, FT4 12.3 pM/L.
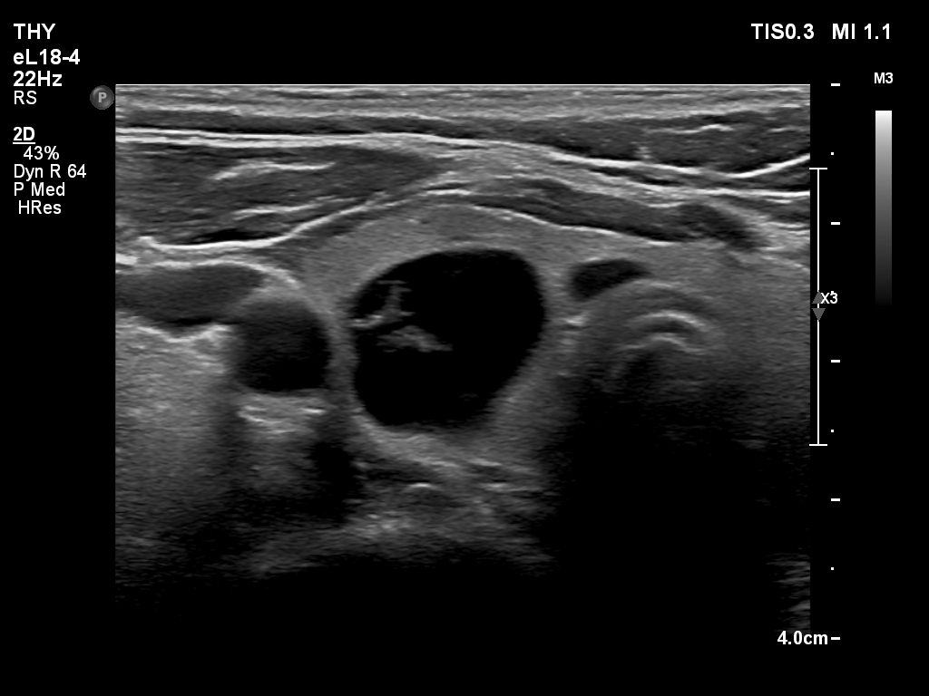
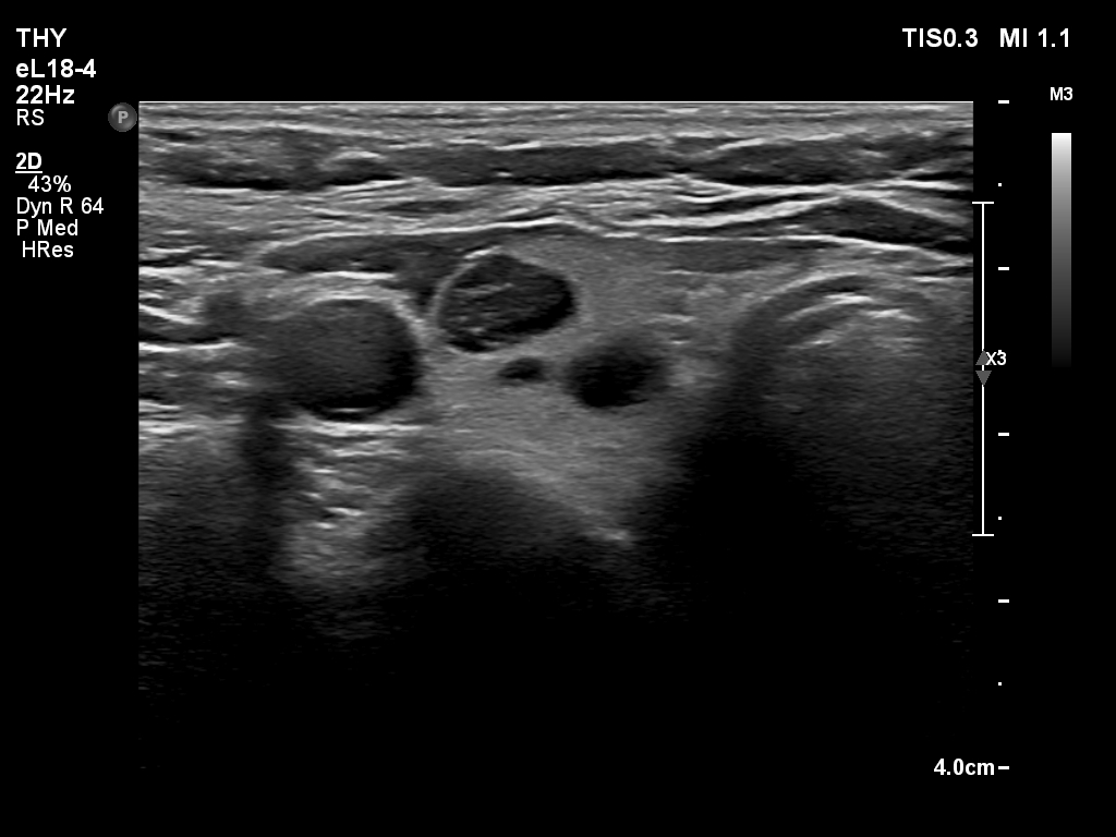
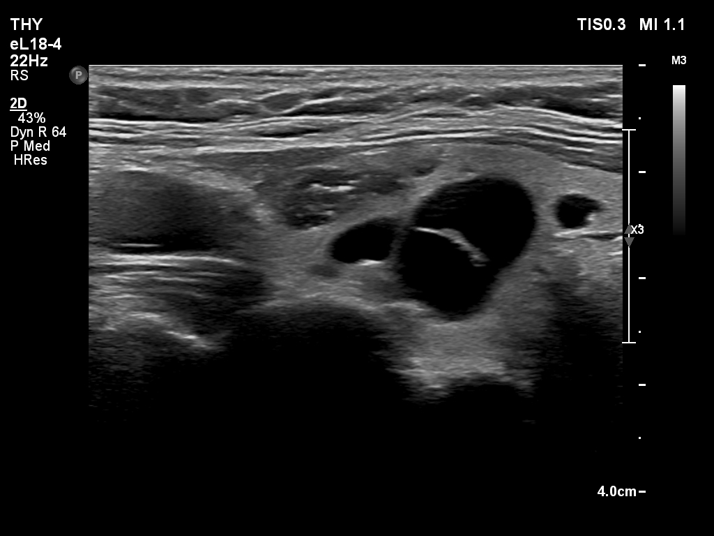
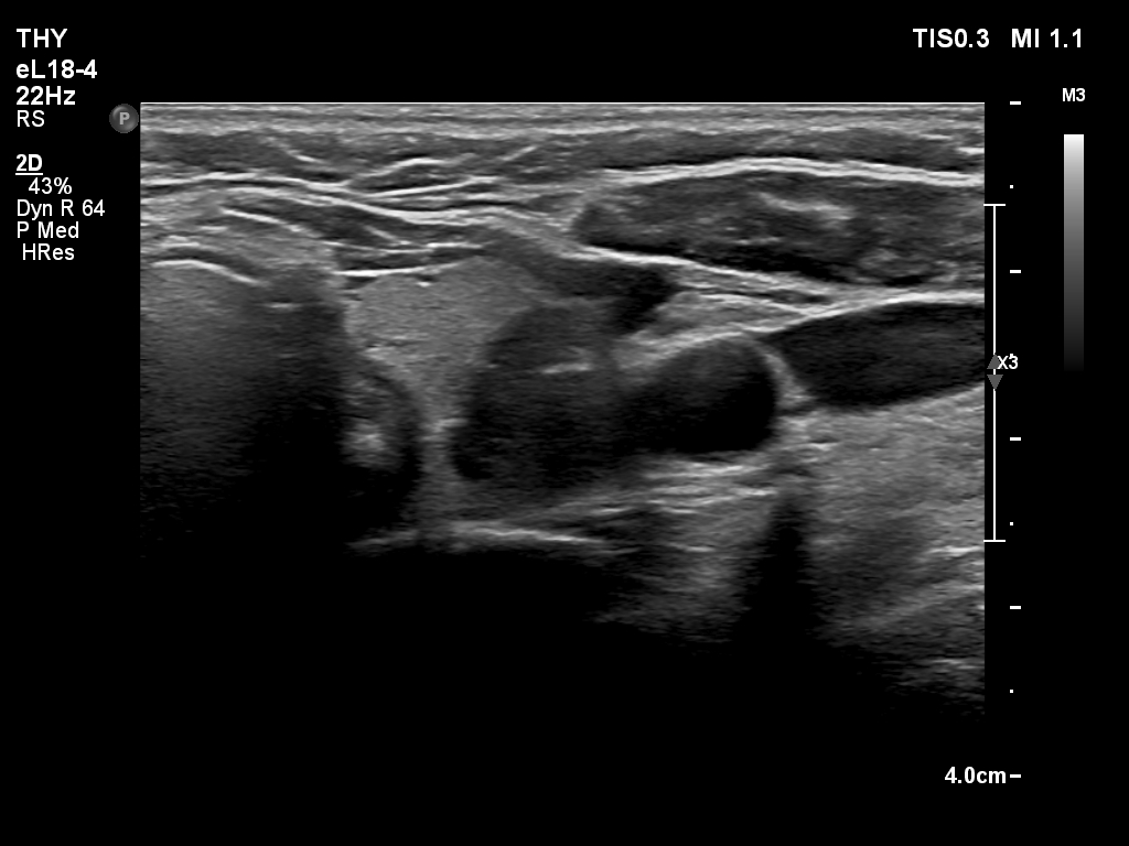
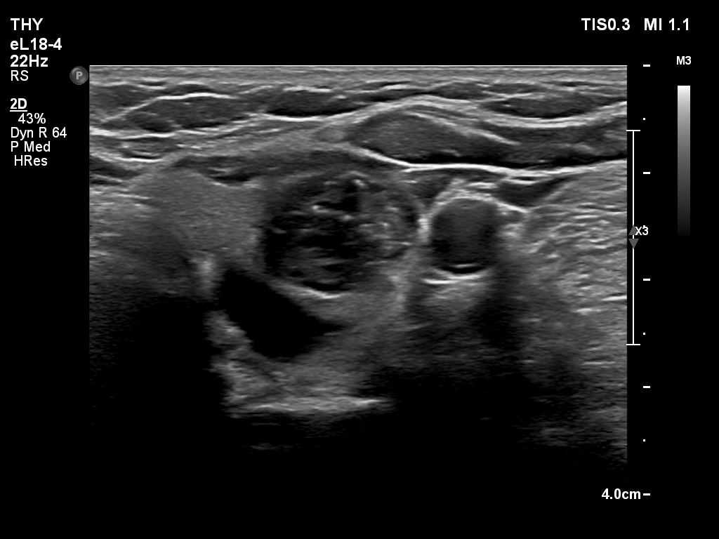
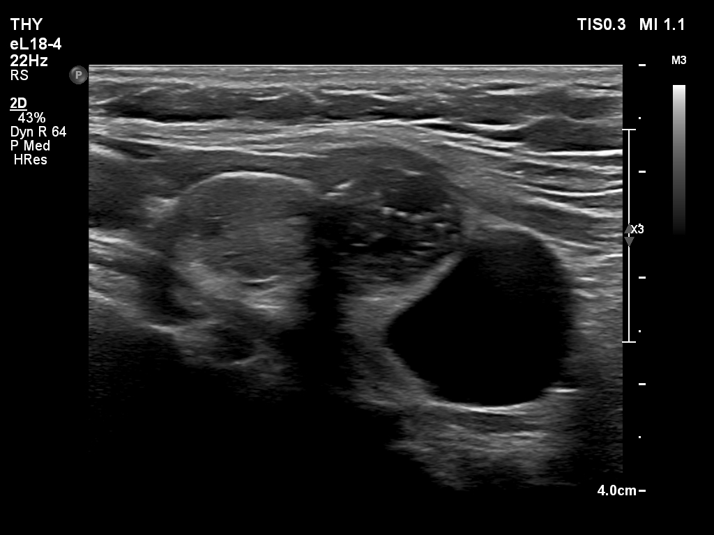
Ultrasonography. The thyroid was echonormal and had multiple nodules. There were cystic areas, an almost completely cystic nodule, and a dominantly solid nodule in the right lobe. The left lobe had three lesions. The upper solid lesion was the one we treated 16 years ago. The middle lesion was a dominantly solid while the lower one seemed to be a pure cyst. The dimensions of the nodule which has been treated with sclerotherapy were 10x11x13 mm (width, depth and length, respectively). There was a large cystic nodule in the upper pole of the left lobe. The lesion showed relatively large hyperechogenic granules. There were multiple enlarged lymph nodes lateral to the left lobe, two of largest were cystic.
After removing 4 mL fluid from the lowest lesion in the left lobe, the lesion has disappeared, which proves that this was a pure cyst. Cytology resulted in cystic degeneration.




















