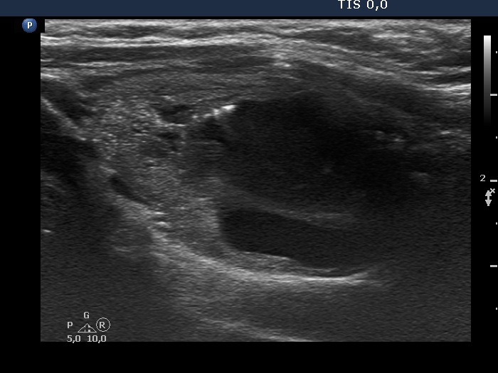
The composition of the nodule - case 491
Examination 3 years later (ultrasonographic picture 7)
|
|
|
|
Left lobe, longitudinal scan - 30 seconds after aspirating 5 ml bloody fluid. The nodule has regained its orginal size.
