The composition of the nodule - case 636 |
|
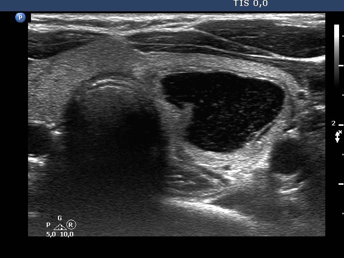
First examination (first row of images):
Clinical presentation: A 36-year-old woman noticed enlargement of the left thyroid after an upper airway infection.
Palpation. The left lobe had an elastic nodule.
Result of blood test: TSH 1.69 mIU/L.
Ultrasonography. The thyroid was echonormal. There was a central-type cystic lesion in the left lobe. The cystic part presented numerous echogenic granules without a tail.We aspirated 5 mL bloody fluid. Aspiration cytology resulted in non-diagnostic cystic lesion.
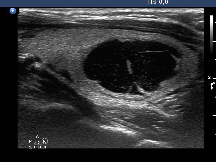
Second examination 4 years later (second and third rows of images):
Clinical presentation: The patient had no complaints.
Palpation: unchanged.
Result of blood test: TSH 1.52 mIU/L.
Ultrasonography. The cystic nodule had refilled. The presentation remained the same.Seven mL brown fluid was aspirated. Cytology: benign, cystic lesion.
Suggestion: ultrasound in two years.








