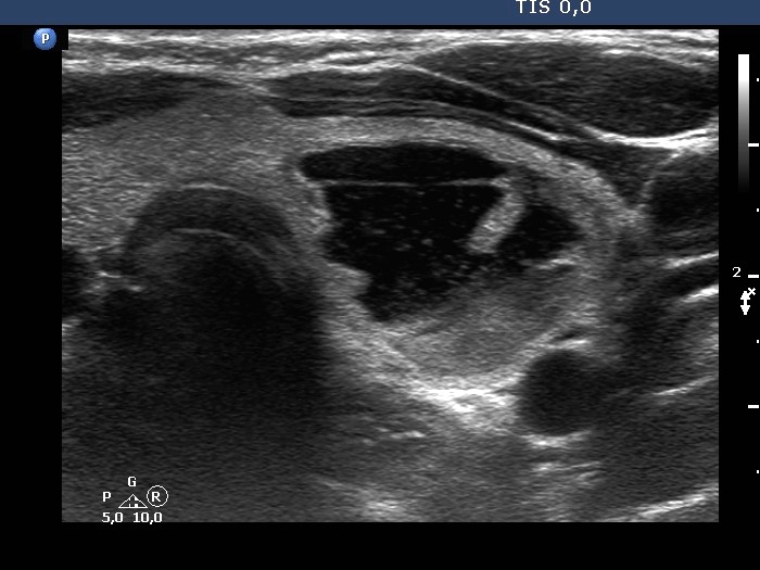
The composition of the nodule - case 636 (ultrasonographic picture 2)


Previous picture Back to Case Next picture

Right lobe, longitudinal scan

Left lobe, another transverse scan. The solid part is echonormal.

 

 

 

 

 

 

mask