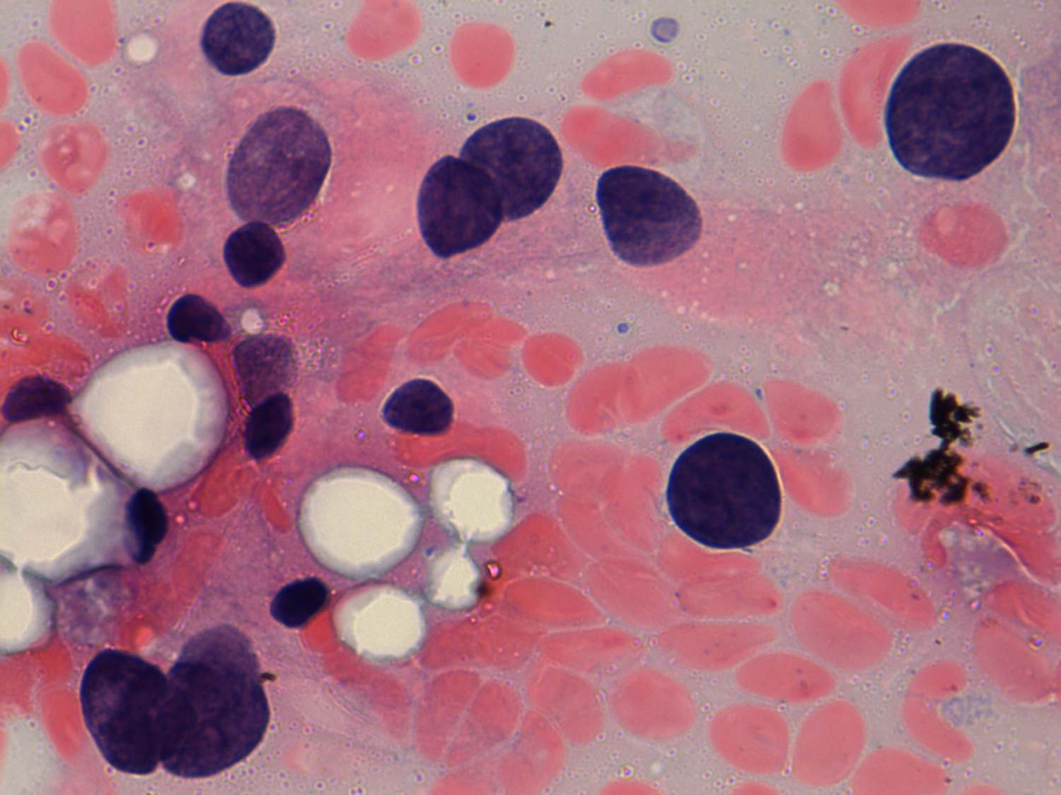
The composition of the nodule - case 653 (cytologic picture 5)
|
|
|
![]() |
Pap-smear, 1000x. Smaller hyperchromatic and larger euchromatic nuclei can be seen. There isn't any sign of atypia suggesting a papillary or other carcinoma.

