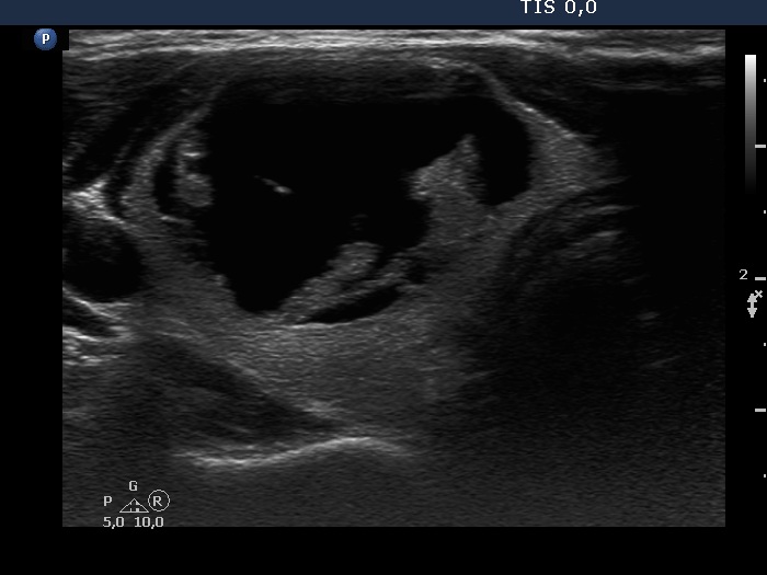
The composition of the nodule - case 753 (ultrasonographic picture 2)
|
|
|
|
Right lobe, another transverse scan. The solid part of the nodule is echonormal and has non-specific granulations and back wall figures caused by posterior enhancement. This is probably a peripheral-type cyst.
