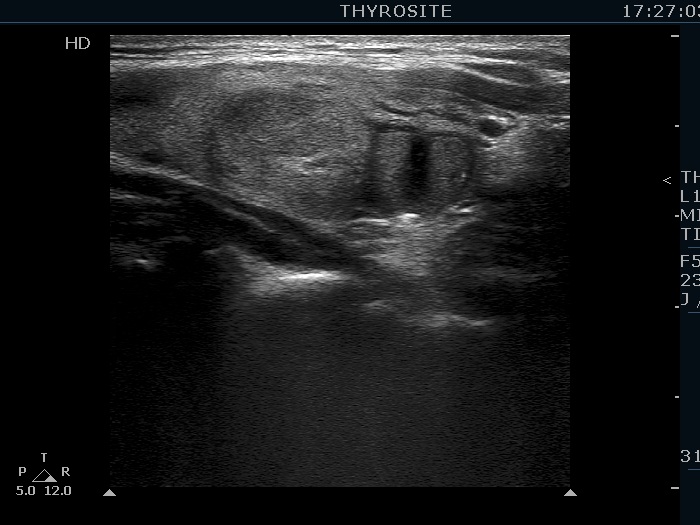
The composition of the nodule - case 956 (ultrasonographic picture 8)
|
|
|
|
Left lobe, longitudinal scan - after the removal of 2 mL serous cystic fluid. On this view, the lower nodule should be categorized as a central type cystic nodule.
