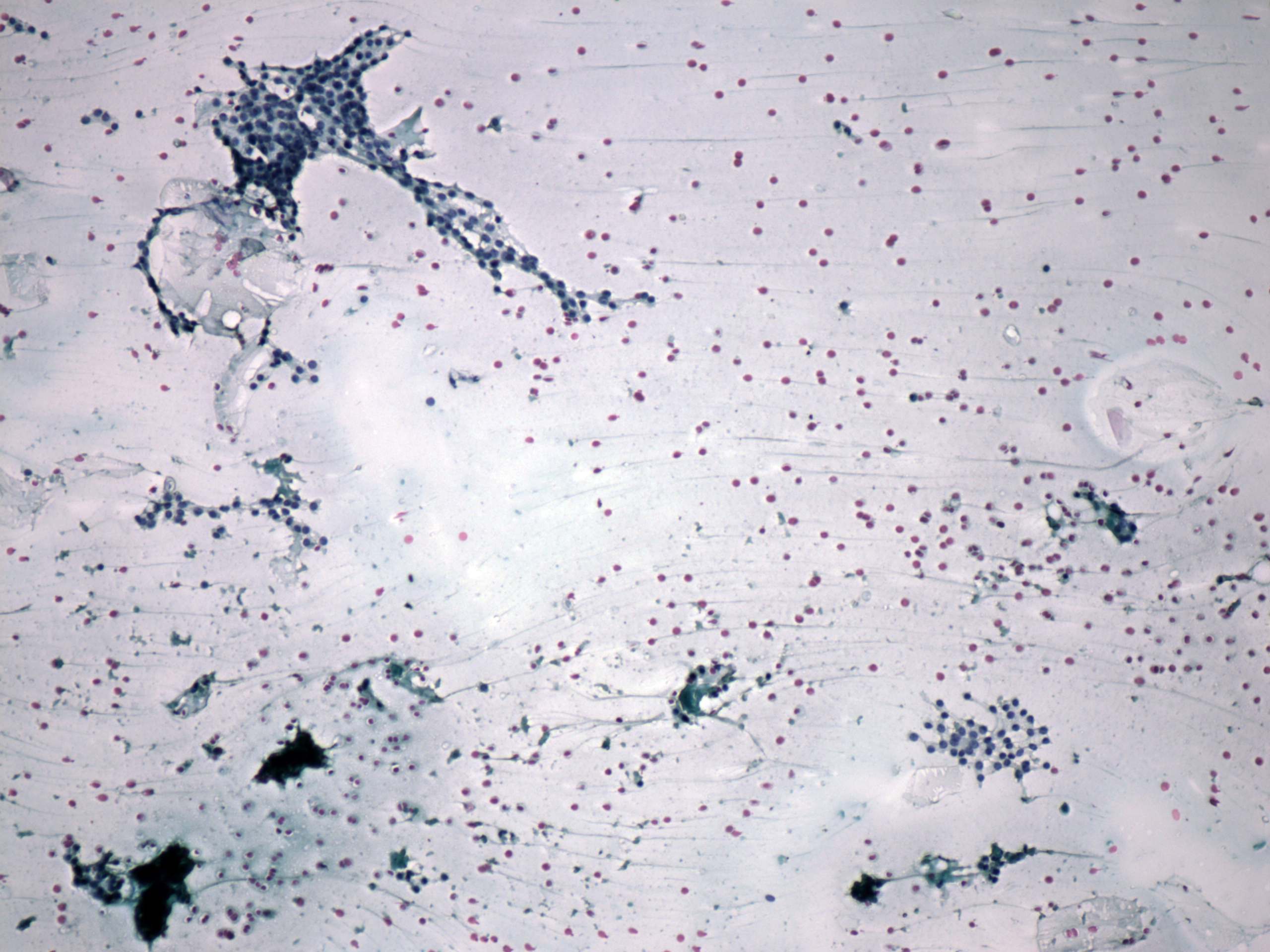
The composition of the nodule - case conp 050 (cytologic picture 4)
|
|
|
![]() |
|
Pap-smear, 100x. There are regular, monolayered sheets and compact, difficult-to-interpret clusters in this image.

