The composition of the nodule - case conp 050 (cytologic picture 8)


Previous picture Back to Case Maximize Next picture

Right lobe, longitudinal scan

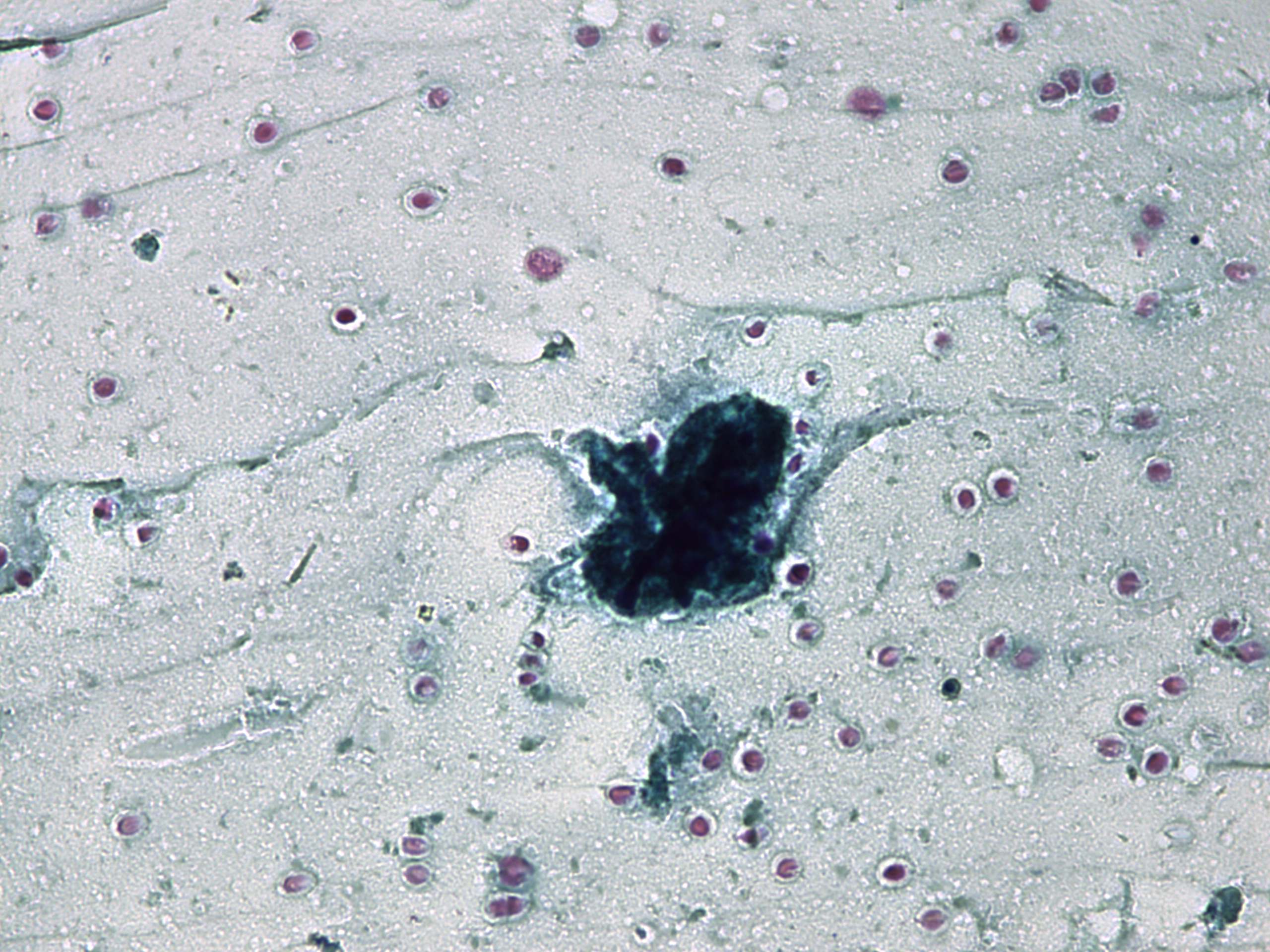
Pap-smear, 400x.   There is a macrophage in the central part of the image. The background is rich in protein.

 

 

 

 

 

 

 

mask